点击上方蓝字关注麻醉平台,支持原创,欢迎投稿
作者:吕瑞兆,王珊,王建华,张许霞,王莹莹,井郁陌,河北省沧州中西医结合医院麻醉科
胸部外科手术常伴随术后疼痛,目前常用的胸部区域阻滞镇痛技术包括胸段硬膜外阻滞、肋间神经阻滞、椎旁神经阻滞和局部切口浸润麻醉。以上几种区域阻滞各自存在着优缺点,安全有效的胸部神经阻滞方法仍是临床麻醉的需求。本文就胸部神经应用解剖、神经阻滞入路及方法、临床应用常见问题和并发症进行综述。
1.胸部神经应用解剖胸内侧神经
胸内侧神经源起C8~T1,自臂丛内侧束发出后,经腋动脉和腋静脉之间前行,后与胸外侧神经的一支汇合,从深面发出分支支配胸小肌。此外,胸内侧神经尚有部分纤维穿出该肌肉或绕其下缘分布于胸大肌(图1)。
图1 胸壁神经解剖(图片来源于3DBody交互解剖教育软件)
1.1胸外侧神经
胸外侧神经源起C5~C7,自臂丛外侧束发出,跨过腋动静脉的前方,穿过锁胸筋膜后行走于胸大肌深面,并发出分支分布至该肌肉。在走形过程中,胸外侧神经还发出一分支与胸内侧神经汇合后分布于胸小肌。
1.2胸长神经及胸背神经
胸长神经源起C5~C7,在臂丛主要结构的后方斜向外下行至前锯肌表面,主要分布于该肌肉和胸部外侧份。胸背神经起源于C6 ~C8,自臂丛后束发出后沿胸背动脉下行最终支配腋窝后壁的背阔肌。
1.3肋间神经外侧皮支及前皮支
肋间神经外侧皮支与前皮质均属于肋间神经(胸神经前支)终末分支,前者在肋角前方发出,斜穿前锯肌浅出后分为前、后两支,分别向前、后走形分布于胸外侧壁和肩胛区的皮肤;后者在近胸骨侧缘处浅出,分布于胸前壁的皮肤及内侧份胸膜壁层。第4~6肋间神经的外侧皮支向内、第2~4肋间神经的前皮支向外走行分布于胸部。
1.4肋间臂神经
肋间臂神经起源于C2神经腹支,于胸小肌外缘后内侧第2 肋间隙穿出肋间肌,后穿过腋脂垫,跨越背阔肌前缘,行向外侧,主要支配上臂内侧、腋窝底及侧胸壁,但不同类型间可有差异。
2.胸部神经阻滞入路及方法
2.1Ⅰ型胸神经(pectoral nerves Ⅰ,Pecs Ⅰ)阻滞
2011 年Blanco 等首次提出Pecs Ⅰ阻滞。胸大、小肌之间穿行着支配二者的胸外侧、内侧神经,Blanco利用超声引导定位,注射局麻药物到胸大、小肌之间以阻滞上述神经。Pecs Ⅰ阻滞适用于放置胸部假体、胸肌下外科操作的镇痛。除此之外,还可用于胸部创伤、放置心脏起搏器与放置胸腔引流管。Atsushi等使用PECS Ⅰ复合肋间神经阻滞麻醉,成功给1例患者放置心脏再同步化治疗设备。Perez等随后对Blanco的方法进修了改良,进针方向由中线向外侧,减少了刺破胸膜与损伤胸肩峰动脉的风险。
2.2Ⅱ型胸神经(pectoral nerves Ⅱ,Pecs Ⅱ)阻滞
Blanco等在Pecs Ⅰ基础上提出了Pecs Ⅱ阻滞。将超声探头放置于锁骨下方,寻找第3肋骨上方的胸小肌与前锯肌,注射局麻药物到胸小肌、前锯肌之间。Pecs Ⅱ阻滞主要阻滞2~6肋间神经外侧皮支、肋间臂神经、胸长神经。这种阻滞方法主要适用于腋窝淋巴结清扫术,也用于前哨淋巴结活检术及胸部浅表肿物切除术。Bashandy等使用Pecs Ⅰ复合Pecs Ⅱ阻滞用于乳腺癌改良根治手术后镇痛,发现Pecs阻滞患者术后24 h内VAS评分明显低于不给予胸神经(pectoral nerves,Pecs)阻滞者,并且术后12 h 内阿片类药物使用量也更少。另有研究发现Pecs Ⅱ阻滞可以为上臂血管移植术提供镇痛。
2.3前锯肌平面阻滞(serratus plane block)
继Pecs阻滞之后,Blanco等提出了创新的前锯肌平面阻滞,探头放置在侧胸壁腋中线,进针至前锯肌与肋骨之间,注射局麻药物。前锯肌平面阻滞类似于Pecs Ⅱ阻滞,但前者阻滞区域更偏向后下侧胸部而后者偏向于腋区、前上侧胸部。前锯肌平面阻滞可用于胸部手术、多发性肋骨骨折、肩部手术、开胸手术等术后镇痛。
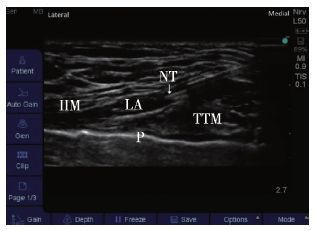
2.4胸横肌平面(transversus thoracic muscle plane,TTMP)阻滞
2015年Ueshima等首先描述了TTMP阻滞(图2),主要用于阻滞肋间神经前皮支。操作方法为超声引导下将局麻药物从胸骨旁注射到胸横肌上方。Ueshima等发现Pecs阻滞复合TTMP比单纯Pecs阻滞更能减少乳腺癌手术后疼痛并减少阿片类药物的使用。
图2 胸横肌解剖声像图。注:NT,穿刺针针尖;LA,局麻药物;IIM,肋间内肌;TTM,胸横肌
2.5椎板阻滞(retrolaminar block)
传统的概念认为椎旁间隙是一个封闭的空间。事实上,椎旁间隙被胸内筋膜分为前后两部分,后中部分是脊神经及神经节所在位置,而前外侧部分是交感神经及其神经节所在位置,局麻药物会通过肋横突韧带的内侧孔(即脊神经背侧支向后穿出支配椎旁肌群的位置)到达椎旁间隙。同时,局麻药物也可以从小关节前方的疏松组织穿过。Voscopoulos等报道超声引导椎板阻滞用于多发肋骨骨折,椎板阻滞首先在超声下寻找脊柱椎板图像(图3),在超声引导下平面内进针,调整穿刺针直到针尖接触椎板后注射局麻药物。他们的研究显示,与传统椎旁阻滞比较,操作更加简单、安全,并发症更少。
图3 椎板阻滞声像图。注:SP,脊突;L,椎板;TP,横突
2.6竖脊肌平面(erector spinae plane block,ESP)阻滞
Forero等发现将局麻药物注射到竖脊肌下的筋膜筋膜间隙内能有效减少肋骨骨折引发的慢性疼痛,并且他们在尸体中验证了ESP阻滞的作用可能是局麻药物通过脊神经背侧支阻滞向前方的脊神经扩散(图4)。竖脊肌阻滞操作简单、安全,是胸部创伤,术后急性疼痛感的有效镇痛手段。Scimia等证实竖脊肌平面内置管持续阻滞能有效减少胸腔镜辅助下肺叶切除术后急性期疼痛。
图4 ESP阻滞。注:TM,斜方肌;RMN,大菱形肌;ESM,竖脊肌;T5,第5胸椎;TP,横突;白色箭头示扩散的局麻药物
2.7肋间臂神经阻滞(intercostobrachial nerve block)
肋间神经为单纯感觉皮神经,无明显解剖定位方法,传统阻滞方法为沿三角肌前方做“线形”阻滞。由于肋间臂神经在跨越腋窝时与腋静脉上方与其交叉,根据这一特点,可以在超声下先找到腋静脉。Wijayasinghe 等首次使用超声引导阻滞肋间臂神经,并且发现肋间臂神经阻滞可以减轻乳腺癌手术后持续性疼痛。
3.临床应用常见问题
(1)超声探查时,可以通过增加探查深度,增加增益,降低探头频率或调整探头焦点在屏幕中的位置使得肋骨和胸膜显影更清楚。(2)通过彩色多普勒模式来确保拟行穿刺进针部位没有动脉分支。(3)当解剖位置无法确定时,可以将探头向外侧或上侧移动寻找经典解剖位置后再将探头移动寻找拟定的解剖位置。(4)胸部血管分布丰富,局麻药物更容易吸收入血液,严格控制局麻药物总量和浓度的选择,避免危重症患者接受较大剂量的局麻药物,以免发生中毒风险。(5)永远切记注射药物遵循由远及近、由深到浅的原则,避免局麻药物中带入气泡影像观察组织结构。并发症胸部神经阻滞穿刺针靠近胸膜,在肥胖患者超声显影不清时有刺穿胸膜的风险,调整不同增益、对比度有助于良好显示解剖结构,减少此类并发症的发生。另外胸部血管比较丰富,局麻药物误入血管的风险较其他部位增加,注射局麻药物时常规回抽以减少中毒的发生,每次阻滞操作前都应做好局麻药物中毒的抢救的准备。
4.小结
胸部外科手术术后常合并中重度急性疼痛,而且急性疼痛可能发展为慢性疼痛。随着近几年超声可视化技术在神经阻滞应用的增多,使得胸部神经阻滞成为可能。目前胸部神经阻滞主要用于乳腺癌改良根治术、多发肋骨骨折后镇痛及开胸手术的麻醉及术后镇痛。相较于目前临床上应用较多的胸部硬膜外麻醉而言,不同类型胸部神经阻滞能保证术后良好镇痛,且对循环的影响较小,有助于患者早期下床活动,减少血栓栓塞风险。虽然胸椎旁阻滞与胸部硬膜外阻滞相比产生相同麻醉效果的同时并发症更少,但是,由于椎旁间隙狭小,即使在超声引导下,仍然有气胸的风险,特别对于经验欠缺的麻醉医师。随着设备的改良和技术的进步,预期胸部神经阻滞将在胸部外科手术术后镇痛中得到越来越广泛的应用。
来源:吕瑞兆,王珊,王建华,张许霞,王莹莹,井郁陌. 胸部神经阻滞的研究进展[J]. 临床麻醉学杂志,2017,33(10):1033-1035.
声明:本平台刊载文章不代表其个人观点,不承担任何法律责任,文章来源于网络,欢迎投稿,如涉及文章版权问题,请及时联系我们,我们将及时删除。
喜欢的亲们,欢迎点赞分享到朋友圈!
长按下方二维码关注 [ 中国麻醉平台 ]
投稿邮箱:[email protected]
期待您带来的惊喜!


