我们再来聊聊流感和肺炎!
作者|云南省一院孙丹雄
来源|医学界呼吸频道
本周,频道推送了关于最近很热的流感和肺炎CT阅读的文章,其实病毒性肺炎表现并非本次流感才出现,在我国首例甲流H1N1病例中就已经初露端倪,作者带大家来好好818甲流“初代目”的故事——
流感并发肺炎,有些文献说流感肺炎,有些说流感合并肺炎,其实有时候很难区分是流感肺炎,还是流感后并发细菌性肺炎,还是既有流感病毒性肺炎、也有细菌性肺炎。
2009年5月10日,成都市传染病医院,收治了我国内地第一例确诊的甲型H1N1流感。胸片示双肺纹理增粗。甲型H1N1流感病毒核酸检测,2次均为阳性。患者发病前4天在美国接触过感冒病人,把资本主义月亮带回了新中国。
这个病人胸片无特殊,但是治疗很有意思:先后给予左氧氟沙星、哌拉西林三唑巴坦、莫西沙星抗感染!这说明在中国当医生不容易啊!抗生素不用吧,病人出现意外,官司不断;用吧,自己都感觉在乱用抗生素。病人没有肺炎,很快好转出院!他挥一挥衣袖,带走健康,把病毒留在空气里。
流感就是感冒,淡定,但是并发肺炎,就会屎人,这才是重点。Perez-Padilla等报道墨西哥一家医院甲流患者,18例肺炎患者,7例患者死亡,死亡率近40%。一个小感冒就死人,这要是在中国职业医闹要兴奋的睡不着。
文献1:南京大学医学院附属鼓楼医院呼吸科,蔡后荣等大侠的报道:伴肺炎与低氧血症的新型甲型H1N1流感二例报告。
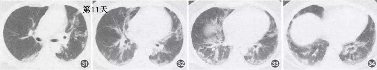
胸部CT,主要表现,还是双肺弥漫性分布的实变影及磨玻璃影。
病灶多,变化快,气难喘,斑片+磨玻璃。
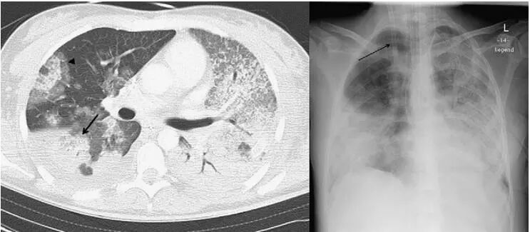
另外一例,先看胸片。
流感:进展快,才能体现我是病毒的疯狂!
再看CT:
同上,似乎流感喜欢跑到胸膜周围搞破坏,但是一般没有胸水!不合并细菌感染,几乎不会引起空洞。
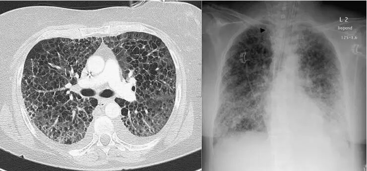
文献2:温州市第二人民医院放射科陈雀芦报道的一例(甲型H1N1流感并发肺炎的影像诊断)有点特殊。
多发肺气囊改变,流感肺炎怎么有空洞?痰、血,均检出金黄色葡萄球菌。一般只有合并细菌感染,才会出现气囊,或者空洞!
文献3:北京地坛医院放射科,杨钧等报道的一例(甲型H1 N1流感合并肺炎的影像表现)。
双肺多个空洞和气囊影。这个CT一般要考虑金葡菌感染,不像流感肺炎,但是,这个患者是流感后继发金葡菌感染。
文献4:吉林大学第一院报道(甲型H1N1流感合并肺炎的重症及危重症老年患者23例
临床分析)。
这个CT没有什么特殊的地方,这个时候只有结合临床、流行病学综合分析了。
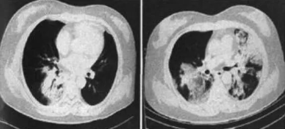
文献5:中南大学湘雅二医院,Clinical and imaging characteristics of hospitalized patients with severe influenza A (H1N1) virus infection and concomitant pneumonia (a report of 39 cases and literature review)。
还是那句老话,多发,下肺为主,斑片、实变、磨玻璃,少胸水,无空洞。
文献6:Henzler T, Meyer M, Kalenka A, et al. Image findings of patients with H1N1 virus pneumonia and acute respiratory failure[J]. Academic Radiology, 2010, 17(6):681-685.
乍一看,胸片是多发结节阴影。下面是CT:
沿着两侧肺门分布,乍一看,像肺水肿,但是心脏不大,下肺胸膜下病灶不少,发热、气促、磨玻璃,还是考虑病毒性肺炎。
下面这个患者就更不典型了:
什么情况?这不是朗汉斯组织细胞增生症?不是淋巴管平滑肌瘤?
NO 。
小叶间隔增厚,磨玻璃影,流感肺炎。
并且,居然有少量胸水!难得难得!
The patient underwent extracorporeal membrane oxygenation (ECMO) therapy 4 days after hospitalization.
入院后第4天,不得已用了ECMO治疗。
实变,多发,磨玻璃,晕征,呼吸困难,病毒性肺炎。
The patient was admitted to the intensive care unit and underwent extracorporeal membrane oxygenation (ECMO) therapy 2 days after hospitalization.
这个病人更严重,有糖尿病,入院后2天就不得已用ECMO治疗。
牙疼不是病,疼起来要你命。
流感自限性,并发肺炎要人命。
喜欢本文就给作者打赏吧!


 
									