本期GIST月评检索了来自Pubmed 2017.09.27-2017.10.26的GIST相关文献,共20篇,其中中国学者再次掀起风暴,发表GIST论文9篇。
本期在基础研究与临床研究中缺乏突破性的报道,但一篇内镜辅助下胃内腹腔镜手术的报道得到两位外科大咖的推荐,建议大家关注;此外,一篇来自Future Oncology的综述内容详尽新颖,归纳了既往较少提及的GIST 液体活检的内容,同时详细总结进行中的GIST免疫治疗的现状;另一篇关于GIST与第二原发肿瘤的综述是近年来关于这个领域最为详尽的归纳,对临床实践具有较强的借鉴意义。
本次文献检索得到了来自辉瑞市场部范雯霏、诺华医学部郭海军的大力帮助,特表感谢。本期月评继续邀请大家的老朋友四川大学华西医院胃肠外科张波教授、空军总医院胃肠外科顾国利教授、北京大学肿瘤医院消化肿瘤内科高静副研究员协助完成本期文献简述并做精彩点评!同时本期月评有幸得到国内胃肠肿瘤领域中青年医师的领军学者、中山大学肿瘤医院结直肠外科陈功教授协助点评“内镜辅助下胃内腹腔镜手术的报道”,由于八一医院刘秀峰教授支持中国足球事业不慎受伤故暂缺席近期点评,在此对几位好友深表感谢,也祝福秀峰教授早日康复,重回球场,继续糟蹋中国足球!
GIST重量级
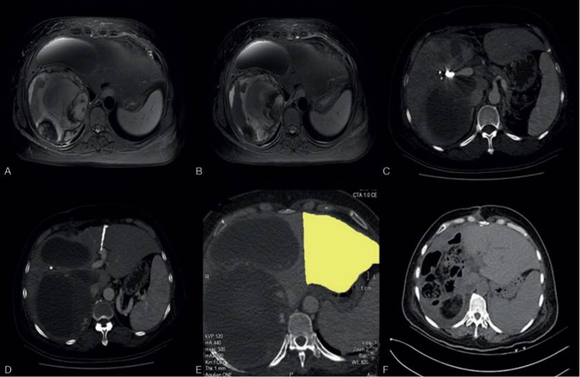
1、内镜辅助下胃内腹腔镜外科:一种2孔法胃切开术的多种应用
Gabriel E, Rosso K, Shahab D, etal.
Department of Surgical Oncology, MD AndersonCancer Center, USA
Surg Laparosc Endosc Percutan Tech. 2017; 27(5):e116-e120.
腹腔镜胃内切除是一项被临床用于治疗GIST、胃平滑肌的外科疗法,特别适用于食管胃结合部肿瘤(GEJ)。我们详细介绍并报告一个独特的2孔法内镜辅助下胃切开、胃内腹腔镜切除技术的操作步骤。2015年12月至2016年7月期间,共有4名患者接受了我们独特的内镜辅助下胃内腹腔镜切除技术。2例GIST、1例平滑肌瘤被完整切除且无并发症。1例病人被诊断为少见的深层囊性胃炎,肿块虽然无法切除,但经穿刺活检而获得诊断并进行了囊肿减压。我们的内镜辅助下胃内腹腔镜切除技术是可行的,这给GEJ肿瘤提供了一种有效的肿瘤切除的方法。
胃内腹腔镜切除技术首例报道于2000年被用于切除胃GIST,目前这项技术经常被用于治疗那些对切缘无特别要求、诸如GIST和平滑肌瘤等胃粘膜下肿物,这项技术进一步被用于那些颇具挑战性的部位,比如贲门、胃后壁和GEJ。目前已有较多报道显示该技术用于治疗胃壁良性肿物和早期胃癌的优势。作者在文中图文并茂地展示了他们特殊的2孔法手术入路和内镜辅助下腹腔镜胃内切除技术的多种应用。这对于内镜医生和腔镜外科医生均是很好的临床经验借鉴。
本文是站在腔镜外科医生的视角,重点讲述了内镜辅助下腹腔镜胃内切除技术和2孔法入路方式,较传统的腹腔镜技术和内镜下切除而言,该技术可以使医生进行更大范围的操作,包括胃内肿物的切除、胃壁的缝合,特别是在贲门、胃后壁、高位GEJ处这些部位的操作空间更大,更有利于肿瘤的全层完整切除。不过,外科医生在关注自身专业技术进步的同时,也应关注自己专业临近学科的技术进步,从而为患者选择更适合的治疗手段。文中腔镜是主角、内镜是配角。但是,目前内镜下的治疗技术也在迅猛发展,内镜医生已经可以实现胃壁肿物的全层切除,部分胃GIST患者可以直接在内镜下切除从而避免手术。所以,对该类患者的治疗而言,内镜也可以变成主角、腔镜作为配角来进行。但是,无论谁是主角、谁是配角,都是为了患者能够得到安全、微创、完整切除肿瘤的最大临床获益为治疗目的。各单位在实际临床工作中要根据具体科室的技术力量合适搭配腔镜和内镜力量,以患者最大临床获益为目标开展双镜联合技术。
(注:本篇由中山大学肿瘤医院结直肠外科陈功教授、空军总医院普通外科顾国利教授共同翻译并点评)
2、成人胃肠间质瘤最新进展
Florou V, Wilky BA, Trent JC.
Division of Hematology/Oncology,Department of Medicine, University of Miami, USA
Future Oncol. 2017 Oct 6.
该文章从GIST生物学行为与潜在治疗靶点进行详细的综述,其中在生物学行为板块中重点描述了野生型GIST的潜在发病机制,包括NF-1综合征缺失GIST中NF-1基因的突变、ETV6-NTRK6基因融合、FGFR-1基因融合(FGFR1–HOOK3, FGFR1–TACC1)、MEN-1与MAX基因突变在野生型GIST中的检测;在液体活检领域,来自GRID研究中外周血与组织Kit突变检测一致率达到84%,在dovitinib治疗耐药GIST中,二者一致率甚至达到了100%;在新药研究版块中,综述了Kit下游通路抑制剂、PDGFRA抑制剂、新的多靶点抑制剂(包括我国的法米替尼),同时详细描述了在研的免疫检查点抑制剂治疗GIST的临床研究。
在既往的多篇综述中,很少见到这样一篇吸引笔者眼球的综述,尽管来自JCR期刊3区的Future Oncology,其中的内容非常新颖,包括很多近半年刚刚发表的数据甚至包含一个月前刊出的论文,而且内容详实,特别是大家关注的液体活检和免疫治疗领域非常详尽,显示出作者对GIST领域知识的熟悉程度与认知高度。看着作者名字很熟悉,检索了一下果然是国际顶级大咖,来自迈阿密大学的Trent JC医生在软组织肉瘤特别是GIST领域发表过数十篇论文,论文合作者包括Demetri、Joensuu、Flecher、Blay、Peter、Corless等众多大腕儿。
看到大腕儿发表论文在国人眼里不入流的杂志就想吐槽,现在发表JCR3区的SCI论文在某高校高级职称评审中基本成为废纸了,笔者就有好几篇“3区废纸”连上厕所都用不上了!严格把关提高论文质量毫无疑问是正确的,但是否应有即时性,即,新规定均应用于新规发布之后的论文,否则我都在WC蹲下了,经理说我们五星酒店WC旧手纸不环保不让用,您起身先找到高档手纸再来吧!
龙在江湖
1、CT图像纹理分析预测胃肠间质瘤的危险度分级
Liu S, Pan X, ZhouZ, et al.
Department of Radiology, Nanjing Drum Tower Hospital, The Affiliated Hospital of Nanjing University Medical School, China
Clin Radiol. 2017 Sep 29. pii:S0009-9260(17)30446-4.
研究通过78例在术前接受过CT检查的胃肠间质瘤患者数据分析,评估CT图像文理分析在GIST中危险度预测的价值,纹理分析分别在CT平扫与增强图像中完成,共获得14个CT纹理参数,并在不同危险度分级GIST中进行比较,使用单向方差分析与独立样本Kruskal-Wallis检验,纹理参数与危险度分级相关性分析采用Spearman's相关检验;结果显示,平扫影像3个参数、动脉期4个参数、静脉期6个参数分别与GIST恶性程度相关,三个时像的AUC在诊断方面显示显著差异;结论认为CT图像纹理分析在术前预测GIST危险度方面具有很高的潜在价值。
科学的进步快速地推动的医学的发展,医学影像学已经越来越精细化,今天在协和的学术会议期间和影像美女教授“神仙姐姐”聊天时,她也提到影像学诊断越来越向病理诊断靠拢,目前部分指标已经可以准确地反映病理指标的改变,这与本文的内容是一致的。尽管影像替代病理尚有很远的距离,但这已经成为影像诊断发展的一个方向。
病理医生目前很有危机感啊!不仅影像科步步紧逼,未来更是要面对人工智能对职业的冲击,笔者的肿瘤内科医生职业也无法完全避免这股浪潮,人工智能取代一些重复的工作是必然的趋势,同时大数据时代人脑必然无法战胜电脑,看到柯洁面对阿尔法狗失败时留下的眼泪有种唇亡齿寒的感觉!“知己知彼,百战不殆”!借月评做个广告,在明年的MDT专委会与青委会肠癌领域的学术活动中,笔者会邀请Watson一起进行多次人机学术碰撞活动,看看它现在能做什么?看看我们今后要做什么?欢迎感兴趣的医生共同参与!
2、Ki-67标记指数可能成为极高危胃肠间质瘤的预测因子——来自1022例胃肠间质瘤患者的多中心研究
Liu X, Qiu H, ZhouZ, et al; China Gastrointestinal Stromal Tumor Study Group (CN-GIST).
Department of Gastric Surgery, Sun Yat-sen University Cancer Center, China
Hum Pathol. 2017Sep 26. pii: S0046-8177(17)30345-3.
研究通过来自多中心的1022例接受原发肿瘤切除的胃肠间质瘤患者数据的回顾性分析,评估Ki-67在GIST危险度评估方面的价值,Ki-67通过石蜡标本免疫组化方法检测,通过ROC曲线分析,Ki-67的界值为6%,多因素分析显示Ki-67为独立的预后因子,纳入NIH复发风险分级,Ki-67亦与高危与非高危的总生存期明显相关,将肿瘤大小、核分裂像、原发部位、组织病理学亚型作为分层因素分析时,其依旧与预后显著相关,此外,对比Ki-67≤6%的高危GIST,Ki-67>6%的高危GIST生存率更低(53.6% vs. 88.7%),结论认为Ki-67标记指数是GIST有前景的预后因子,可能用于极高危人群的治疗依据。
双鸭山大学再传捷报,本期月评2篇论文入围(在10.29检索时发现了第三篇,留待下期),周志伟教授GIST团队又发表文章了!这次是基于南方多家医院组成的GIST协作组多中心数据整合而出的!笔者记得在10余年前刚接触GIST时听到过时任301医院病理主任李向红教授的学生第一次讲Ki-67在GIST中预后评估的报道,在后来的工作中也惊诧于Ki-67始终未得到更多的关注,可能其与核分裂像意义存在较多重叠的原因,另一个原因是对比NET,GIST中Ki-67的阳性比例总体较低,多数患者均低于10%;本文提出6%的cut-off值对临床实践应该具有很重要的价值。对比西方,中国的优势在于病例数,特别是罕见肿瘤,非常敬佩南方几家医院能够在短时间迅速整合数据,并能够分析得出具有临床指导价值的论文,笔者了解到,基于这一数据库还有数篇论文等待发表,让我们共同期待。
3、肿瘤坏死对接受根治性手术的胃GIST患者预后影响:中国740例患者的多中心分析
Liu X, Qiu H, Zhou Z; China Gastrointestinal Stromal Tumor Study Group (CN-GIST).
Department of Gastric Surgery, SunYat-sen University Cancer Center, China
Cancer Med. 2017 Oct 23.
肿瘤坏死通常意味着不良预后。本研究旨在确定肿瘤坏死是否是胃GISTs的独立的预后预测因素。我们回顾性分析了2001-2015年740例经根治性手术治疗的胃GIST患者的资料。通过KM法计算无病生存率(disease-free survival,DFS),并通过COX回归评估预后。122 例患者(16.5%)有肿瘤坏死,随着危险度分级升高,肿瘤坏死占的比例也越高,在极低、低、中、高危肿瘤中依次为0.7%, 7.4%, 17.3%, 以及39.3%。肿瘤坏死通常与恶性肿瘤生物特征相关,比如:肿瘤大小、高核分裂像、肿瘤破裂以及核异型性。(P < 0.05)
多因素分析显示,肿瘤坏死是DFS不良的独立预测因素(HR: 2.641; 95% CI: 1.359–5.131; P =0.004)。当病人采用改良的NIH系统进行危险度分级以后,对于高危险度患者,肿瘤坏死是DFS不良的独立预测因素(P = 0.001),但对非高危患者而言,其并无统计学差异。对年龄、性别、肿瘤部位、大小、以及核分裂像进行分层分析时,肿瘤坏死均成为危险因素;在胃部GIST,特别是高危患者中,肿瘤坏死是预测预后的一个有用的指标。基于上述结果,我们建议目前的NIH分级可将肿瘤坏死纳入,将其列为一个有价值的预后因素。
肉瘤的恶性度分级目前多采用法国的FNCLCC系统,它通过对肿瘤细胞分化、肿瘤坏死范围和核分裂数3项评分相加而制定分级。肿瘤分化:肉瘤形态几乎接近正常成人间叶组织者为1分;组织分型确定的肉瘤为2分;胚胎性或未分化肉瘤等为3分。肿瘤坏死范围:无肿瘤性坏死为0分;坏死范围≤50%为1分;>50%为2分。核分裂数:0~9/10HPF为1分;10~19/10HPF为2分;≥20/10HPF为3分。以上三项评分相加,2~3分为1级、4~5分为2级、6~8分为3级,依此来对肉瘤进行分级,而其中核分裂数和肿瘤坏死对平滑肌肉瘤和脂肪肉瘤的转移预测非常重要。
GIST作为一种肉瘤,目前常应用改良NIH标准进行危险度分级,但这一标准仅保留了肿瘤大小和核分裂数两个参数,因此并不全面,不能真实判断肿瘤的恶性程度,这也给临床治疗带来了一定困惑,希望我们在日常工作中能全面掌握肉瘤的恶性特性,做到治疗的精准化、规范化、个体化。
4、胰腺胃肠间质瘤的临床病理特征与预后分析
Liu Z, Zhang H,Feng F, et al.
Division of Digestive Surgery, Xijing Hospital of Digestive Diseases, Xijing Hospital, Fourth Military Medical University, China
J Clin Gastroenterol. 2017 Oct;51(9):850-856.
研究通过单中心的一例胰腺GIST病例,与在MEDLINE检索的44例病例整合分析,并通过与297例胃GIST对比,探讨胰腺GIST的临床病理特征与预后。结果显示,胰腺GIST最常发生的部位为胰头(38.5%),大部分胰腺GIST长径>5cm(74.4%),影像学表现为囊性或混合性占位,85.7%为高度复发风险GIST,5年DFS与DSS分别为66.1%与95.8%,核分裂像是唯一的DFS风险预测因子,与胃GIST相比,胰腺GIST临床病理特征有显著性差异(更长的肿瘤长径、上皮与混合型比例更高、高危患者比例更高);多因素分析显示,肿瘤部位是胰腺GIST与胃GIST预后差异的独立评估因子。
丰帆教授的这一招真是屡试不爽啊!这应该是近期同样方法发表的第三篇文章了,不过丰兄还是留一些罕见病例给兄弟吧,不然兄弟还没学会丰兄就把全部内容都发表完了!胰腺GIST非常罕见,能在MEDLINE检索到40余例实属不易,数据的总结更是可以为临床实践提供重要的帮助,我们可以看到论文中数据的分析可以反应出胰腺GIST的特殊表现,能够如果能有更多关于手术与TKI治疗的数据就更好了。
5、同时性胃腺癌合并胃肠道间质瘤的临床病理学和分子特征
Luo JM, Cao FL, Meng C, etal.
Department of Pathology, Qinghai Provincial People’s Hospital, China
Sci Rep. 2017;7(1):12890. doi: 10.1038/s41598-017-12622-x.
同时性胃腺癌合并胃肠道间质瘤(GIST)临床罕见。我们对6例同时性胃腺癌合并GIST患者肿瘤组织的临床病理和分子特征进行了研究。免疫组化分析显示:6例同时性胃腺癌合并GIST患者和单纯GIST患者的所有GIST细胞均表达出了CD117、CD34、DOG-1。序列分析表明:6例同时性肿瘤中的2例和5例单纯GIST中的4例存在c-kit第11外显子突变。2例第11外显子突变的同时性胃腺癌合并GIST病例中1例是不常见的576氨基酸的CTT>CCA突变,另一例是560氨基酸的GTT碱基缺失。该突变是第12外显子PDGFR-α在567氨基酸的A>G纯合突变。我们认为第11外显子突变在同时性胃腺癌合并GIST患者和单纯GIST患者中都是最重要的,且在单纯GIST患者中的突变率高于同时性胃腺癌合并GIST者。
青海省人民医院病理科Luo JM等对同时性胃腺癌合并GIST患者的临床病理学和分子特征进行有益的探索性研究,他们发现c-kit基因的第11外显子突变在同时性胃腺癌合并GIST患者和单纯GIST患者中都是最重要的,且在单纯GIST患者中的突变率高于同时性胃腺癌合并GIST者。总体而言研究样本量偏少,抽样误差增大。众所周知,胃腺癌是起源于胃黏膜组织的恶性肿瘤,而GIST则是起源于间叶组织的肿瘤,两者虽然在临床上可以同时并存,但是其在组织起源、发病原因等方面都存在本质差异。很多并存病例多是胃癌术中意外发现并存较小的胃GIST。因此,理论上而言,两者并存病例与单纯GIST病例的GIST肿瘤可能未必存在什么根本性的临床病理和分子特征差异。作者对该问题进行了有益的探索性尝试和研究,如要想得出比较确切的结论,可能还需基础性研究的进展和大幅增加样本量、较少抽样误差来进一步进行研究。
6、胃肠间质瘤中的EGFR基因突变
Shi SS, Wu N, ZhouXJ, et al.
Department of Pathology, Jinling Hospital, Clinical Medical School of Southern Medical University, China.
Histopathology. 2017 Oct;71(4):553-561.
研究评估胃肠间质瘤中EGFR基因突变情况并分析其与肿瘤发生、发展的相关性;共纳入323例接受手术的GIST病例,检测EGFR基因外显子19与外显子21的突变情况,在全部病例中,检测到3例突变(0.93%),突变GIST未合并kit、PDGFRA、KRAS、BRAF突变;3例EGFR突变GIST中,2例为梭形细胞型,1例为上皮样细胞型,3例GIST的细胞形态与免疫组化与未见突变的GIST无显著性差异,SDHB染色除外了SDH缺陷型GIST诊断;临床特征显示2例突变患者为女性胃GIST,均为19号外显子缺失突变,1例为小肠GIST,为21号外显子点突变,肿瘤长径范围25-45mm,平均核分裂像计数为2.7/50HPF,3例突变患者均为低度危险GIST,中位随访72.3个月未见复发。结论显示首次报道EGFR突变可发生于生物学行为表现相对良性的GIST中,其可能在GIST发生发展中扮演重要角色。
研究首次报道<1%的GIST可发生EGFR突变,尽管发生率较低,但值得关注的是3例病例均为低危,并发生在可能的四重野生GIST中(需再除外NF-1 GIST),分析有两种可能性,其一为的确可能为野生型GIST新的发病机制,同时也不能除外是尚未发生kit突变的GIST,毕竟在低危GIST中,kit突变率相对低于高危GIST。EGFR突变能否是WT GIST新发病机制,可在细胞系中进行进一步的探索。
7、内镜粘膜下切除对比腹腔镜手术治疗<2cm胃间质瘤的长期随访结果
Meng Y, Li W, LiY, et al.
Guangdong Provincial Key Laboratory of Gastroenterology, Department of Gastroenterology,Department of General Surgery, Nanfang Hospital, Southern Medical University, China.
J Gastroenterol Hepatol. 2017 Oct;32(10):1693-1697.
研究通过126例接受粘膜下切除(ESD)与腹腔镜手术(LAP)GIST患者的回顾性分析,评估两种方式治疗<2cm胃间质瘤的长期生存与围手术期指标的差异。结果显示,126例患者中,59.5%接受ESD,40.5%接受LAP,两组患者临床病理特征是均衡的,中位随访时间均在3.3-3.4年,在手术时间、出血量、住院时间等指标分析中,ESD较LAP均有显著性优势,ESD与LAP患者的复发率分别为2.67%与1.96%,未见统计学差异,DFS曲线亦无差异。结论认为ESD可推荐用于胃小GIST的切除。
南方医科大学的回顾性对照研究在评估两种技术手段治疗小GIST中的价值具有很好的临床意义,中位3-4年的随访是近期内镜切除小GIST的报道中比较长的时间,对评估小GIST复发来说,随访时间越长越有价值,毕竟即使R1甚至R2切除,大部分低危的小GIST也很难在短时间内出现快速复发。笔者更加关注的是两组病例手术切除的病理数据与基因分析,这对我们更准确地评估小GIST的进展风险而指导临床决策会有更高的价值。小GIST到底该不该切除、该不该推荐内镜切除,是个争论已久的话题,在笔者过往十期月评中有很多的内镜切除小GIST的报道,笔者也对该话题也讨论了多次,都成话痨了!不再说了,还是静观胃肠外科与消化内镜互相打架更有意思!都打残了,肿瘤内科来收拾残局!
8、小肠肿瘤:台湾消化内镜协会基于小肠镜的多中心流行病学研究
Chung CS, Tai CM, Huang TY, etal.
National Taiwan University Hospital and National Taiwan University College of Medicine, Taiwan
J Formos Med Assoc. 2017. pii: S0929-6646(16)30489-2.
小肠占胃肠道大部分,但其肿瘤罕见,且一直被忽视。本研究旨在评估小肠肿瘤的流行病学。这项多中心回顾性研究利用内镜数据库。收集2006/11-2016/07基线人口学特征、临床、放射学和内镜检查结果。结果显示:入组的1070例肠镜检查共发现103例小肠肿瘤(34例良性,69例恶性)。除GIST亚型外(男31.6%,女68.4%),男性在发病人数(男56.3%,女43.7%)、良性(男52.9%,女49.1%)、恶性(男58%,女42%)等方面均高于女性。恶性肿瘤获得诊断的中位年龄(62.2±15.6岁)明显晚于良性疾病(50.7±21.4岁)(P<0.010)。出血(43.7%)、腹痛(40.8%)和肠梗阻(10.7%)是小长肿瘤最常见的临床表现。错构瘤(32.4%)和腺瘤(14.7%)是最常见的良性组织学类型。四种恶性组织类型分别是恶性淋巴瘤(29.0%)、GIST(27.5%)、腺癌(26.1%)、转移癌(14.5%)。小肠腺癌患者(>60岁者占77.8%)的发病年龄明显晚于淋巴瘤(60%)和GIST(50%)。淋巴瘤、GIST、腺癌在近端小肠发生率依次是为25.0%(5/20)、84.2%(16/19)和88.9%(16/18)。这项基于内镜技术的多中心研究显示:最常见的小肠良性肿瘤是错构瘤和腺瘤,最常见的小肠恶性肿瘤是淋巴瘤、GIST、腺癌和转移癌。除GIST外,其余均为男性好发。除淋巴瘤外,其余多好发于近端小肠。进一步大规模调查工作有助于阐明小肠肿瘤的流行病学特征。
台湾地区基于小肠镜的多中心回顾性研究对我们了解小肠肿瘤的流行病学特征提供了有益的参考,但总体而言样本量仍偏少,所得出的研究结论仍需进一步扩大调查规模来阐明。大陆地区的学者应该发挥我们大陆的人口资源优势,可以以此文为模板,多中心联合起来、稍加数据整理就可以十倍、百倍于本研究的样本量,这对于揭示目前我国居民小肠肿瘤的流行病学特征将具有决定性的意义。
9、一例经皮微波消融肝实质分隔联合门静脉栓塞计划性巨大胃肠间质瘤肝转移切除
Liu J, Zhang C, Chen Y, et al.
Department of Pathology, Zhejiang Provincial People’s Hospital, People’s hospital of Hangzhou Medical College,China
Medicine (Baltimore). 2017Oct;96(42):e8271.
患者女性,44岁,4年前因十二指肠GIST行胰十二指肠切除术,诊断高度复发风险GIST,因经济状况术后未接受伊马替尼辅助治疗,术后2年发现肝转移,MR显示肝多发转移分布于几乎全部肝段(除外肝左外叶),最大病灶10x12cm,口服伊马替尼治疗后病灶稳定,拟行手术切除,但残余肝体积不足,行经皮微波消融肝实质分隔联合门静脉栓塞治疗,10天内残余肝体积由34%提高至50%,随后成功施行肝右三叶切除术,病理显示GIST(梭形细胞型),CD117与DOG-1阳性,核分裂像10/50HPF,术后继续伊马替尼辅助治疗,随访17个月未见复发。
毫无疑问,该例病例从为GIST巨大肝转移负荷拟行手术切除的患者提供了技术路线,从近期随访看也为患者带来了更多的生存获益,该技术更早用于肠癌肝转移的手术治疗;该病例除了技术性之外,更多的思考还是在GIST肝转移切除观念能否成功移植肠癌肝转移成功的理念,尽管现阶段仍缺乏前瞻性的对照研究(日本有一项例数极少的报道),但笔者仍认为是可行的,一是由于的确存在较多终生不发生肝外转移的GIST患者,二是由于伊马替尼卓越的肿瘤控制,但病例选择依旧需要参照肠癌肝转移中生物学行为是否可切除的理念,除了TKI治疗有效之外,本病例缺乏的基因检测是十分重要的,不同的基因突变类型对TKI疗效存在的差异以及PFS的差异均影响这肝转移手术的适应人群筛选与手术时机的界定。
犹记得N年以前三位青涩的北肿医生(胃肠外科大李、肝胆外科崑哥与笔者)在杭州的一家酒店里畅谈开展GIST肝转移手术的前瞻性研究,遗憾的是现在三位青涩的少年早已变成了油腻的大叔,这项研究也未能真正开始。其实,国内医生从来不缺好的idea,缺的是开展临床研究的money!看着老几位的肚子,减肥估计没戏了,我们的目标:肥而不腻!
百家争鸣
1、18F-FDG-PET在伊马替尼术前治疗胃肠间质瘤的早期疗效评估
Farag S, de Geus-Oei LF, Steeghs N, etal.
Netherlands Cancer Institute/Antonivan Leeuwenhoek Hospital, Department of Medical Oncology; The Netherlands
J Nucl Med. 2017 Sep 28. pii:jnumed.117. 196642.
研究利用荷兰注册研究数据回顾性分析FDG-PET在伊马替尼术前治疗中早期疗效评估的意义,63例伊马替尼术前治疗患者的70次FDG-PET影像纳入分析,其中70%患者出现了FDG-PET中肿瘤代谢的改变,共27.1%的患者根据PET结果改变了治疗(具体变化未提及),11.8%改变了手术计划,包括提前施行手术,21.4%改变了药物治疗计划,包括提前使用舒尼替尼与瑞戈非尼;治疗的改变与缺乏PET代谢反应及非Kit基因外显子11突变有关。结论认为FDG-PET对于非Kit基因外显子11突变GIST术前治疗有助于更好地调整治疗策略。
文章结果还是有临床价值的,PET的高敏感性有助于及早做出治疗决策的调整,但本文是单臂回顾性研究,如与CT或MRI做平行对照研究,其价值将会更高,毕竟由于价格问题,PET在我国无法作为常规检查,同时对于手术的评估方面,CT或MRI在病灶治疗后解剖学的改变对比PET的代谢变化,可能对外科医生更加重要。
2、谐波造影增强超声内镜(CH-EUS)对上消化道粘膜下肿瘤(SMTs)的鉴别诊断
Kamata K, TakenakaM, Kudo M, et al.
Departments of Gastroenterology and Hepatology, Pathology, Surgery, Kindai University Faculty of Medicine, Clinical Research Center, Kindai University Hospital, Japan
J Gastroenterol Hepatol. 2017Oct;32(10):1686-1692.
背景与目标:评估CH-EUS对上消化道粘膜下肿瘤的鉴别诊断价值
方法:CH-EUS评估本中心于2008年6月至2015年5月157连续收集的157例上消化道粘膜下病变患者。本研究系单中心前瞻收集的回顾性分析。73例后续经手术切除的患者纳入本研究分析。手术标本作为最终诊断结果。CH-EUS的观察指标——血流(高增强,低增强)以及增强的同质性均纳入评估。
结果:最终诊断58例GISTs,15例良性SMTs(2例脂肪瘤,5例平滑肌瘤,5例神经鞘瘤,2例血管球瘤,一例异位胰腺)。49 / 58 (84.5%)例GISTs呈现高增强,4/15 (26.7%)例良性SMTs高增强;21/ 58 (36.2%) GISTs为不均匀增强,2 /15(13.3%) 良性SMTs为不均匀增强;通过高增强诊断GISTs,其灵敏度、特异度、准确度分别为84.5%, 73.3%,以及 82.2%。若以不均匀增强判断GISTs其灵敏度、特异度、准确度分别为36.2%, 86.7%, 及46.6%。对于小于2CM的病变,高增强表现预测GISTs的灵敏度较不均匀增强更高。
结论:CH-EUS下GISTs具有高增强及不均匀增强等特点。CH-EUS有助于GISTs及良性SMTs的鉴别诊断。
GIST 是最常见的消化道黏膜下肿瘤,超声内镜检查可以清晰地显示病变的起源层次、大小、回声性质、内部回声等特点、目前认为GIST 病变大小、浸润深度、肿瘤是否破坏、核异型性是判断GIST 良恶性的标准。
日本GIST指南认为肿瘤直径大小、不规则外部边缘、内部回声不均匀以及区域肿大淋巴结提示高危。位于胃径线≤2cm 的无症状GIST,可根据其超声内镜表现确定风险分级,如具备边界不规整、溃疡,强回声和异质性等不良因素,应考虑手术切除。曾有报道发现,即使肿瘤直径<2cm,EUS 提示边界不规整、溃疡、回声不均匀,行手术切除后,病理提示危险度分级为高危,因此提示肿瘤大小并不是判断良恶性的绝对指标,若合并不良因素,则恶性可能性大。如无不良因素,可定期复查超声内镜。
我们认为EUS提示溃疡、回声不均匀及高回声改变可作为判断良恶性的辅助指标。
3、转移性胃肠间质瘤长期生存的预测——来自单中心大样本的数据分析
Hompland I,Bruland ØS, Boye K, et al.
Department of Oncology, Norwegian Radium Hospital, Oslo University Hospital, Norway
Acta Oncol. 2017 Oct;56(10):1317-1323.
研究通过奥斯陆大学医院软组织肿瘤数据库的115例转移性胃肠间质瘤患者的数据,探讨长期生存患者的预测因素,结果显示合并外显子11突变患者占72%,寡转移(≤3个转移灶)患者占36%,30.4%患者接受了二线治疗,16.5%患者接受了三线治疗,中位生存期6.9年,单因素分析显示更好的体力评分ECOG ≤1、年轻患者、寡转移、肿瘤长径<5cm、转移灶手术切除、原发灶切除、正常的血红蛋白水平与更长的生存期相关,多因素分析中,更好的体力状况评分、更小的肿瘤长径、寡转移与长期生存相关,寡转移患者的5年与10年生存率分别为89%与71%,非寡转移患者的5年与10年生存率分别为38%与20%。结论认为寡转移是强烈的预后因素,寡转移患者与高危局限性患者具有相似的生存期,应该在转移性GIST中被作为特殊亚组区别对待。
笔者非常喜欢这篇来自挪威的仅有115例的回顾性分析,因为它提出了笔者一直想了解的问题,即哪些转移性GIST患者可以获得长期生存,在62005研究的10回顾性分析中也得出了外显子11突变、体力评分好等预后因素,但这些均是闭着眼睛都能想到的,本文提出的寡转移是正性预后因素很值得深入讨论,因为它涉及寡转移病灶是否手术切除的问题,而这是临床面临很大争议的问题,尽管研究多因素分析未能显示转移灶手术切除与预后相关,但也明确指出寡转移患者不仅对比非寡转移在临床病理特征无差异,而且的确寡转移患者更多地接受了转移灶的手术切除。而其71%的10年生存率也的确值得作为特殊亚组患者去制定不同的治疗策略。那么回到现实工作中,寡转移在药物控制的情况下可以手术吗?笔者认为可以!
4、进展期GIST中血管生成相关基因多态性与imatinib治疗后的PFS有关
Verboom MC, Kloth JSL, Gelderblom H ,et al. Department of Medical Oncology, Leiden University Medical Center, The Netherlands
EurJ Cancer. 2017Oct 17;86:226-232.
作者在227例接受imatinib(400mg剂量)治疗的进展期GIST标本(血液或血清或肿瘤组织)中,对18个基因的36个位点多态性进行了分析,这18个基因均是药理学研究较多的基因,如:ABCG2、ABCB1、CYP1A1、KDR、VEGFA、SLCO1B3等。作者发现,除KIT基因外显子9突变和同时性转移与患者的PFS差有关外,KDR基因rs1870377位点AA型、VEGFA基因rs1570360位点AA型、SLCO1B3基因rs4149117位点T等位基因均与较差的PFS有显著相关。
该文章看似简单,实际操作起来并非易事,患者资料及标本的收集历时6年余。文中也对OS进行了分组分析,不同多态性患者的OS有差别,但无统计学差异。对于类似文章,笔者认为不能以“有何临床意义”去评价,即便围绕临床问题开展研究,也只有少数研究结果具有明确的临床意义,但大部分结果会对临床有一定提示性。基于此研究,是否有必要对接受imatinib治疗患者进行多态性检测尚不明确,但有关该方面的深入研究值得开展。
5、克服KIT继发突变导致耐药的抑制剂探索
Kaitsiotou H, Keul M, Rauh D, et al.
Faculty of Chemistry and Chemical Biology,TU Dortmund University, Germany
J Med Chem. 2017 Oct 9.
作者围绕“KIT基因继发性突变导致耐药”这一临床问题切入主线,根据KIT基因继发突变后其蛋白的高级结构,针对KIT蛋白关键结构域的空间构象,设计了多种结构略微不同的II型激酶抑制剂,并在体外探索了不同化合物在GIST细胞中的敏感性,研究同时以ponatinib作为对照。结果表明,对于KIT继发突变的imatinib耐药的细胞,某几个化合物仍然有很好的抑制作用,或许具有一定的临床应用前景。
应该说该文章更加偏向结构生物学,文章的起因和轴线也是围绕KIT蛋白的高级结构进行的,文章读起来略微费劲(毕竟隔行如隔山呢),但文章的思路和结论还是容易理解。关于野生型及各种突变型KIT蛋白的晶体结构以及众多结构略微不同的化合物如何产生的方法学介绍,笔者就不班门弄斧了,若感兴趣可从原文中查阅。虽然体外功能研究以GIST为例,但该研究结果对于CML和黑色素瘤均由借鉴之处,毕竟KIT突变后对其高级结构的影响是类似的。该文章也提示我们,虽然GIST中T315I不是重要突变类型,Ponatinib是否可用于标准治疗失败的GIST尚需临床数据的支持。
文献综述
1、胃肠间质瘤合并第二原发肿瘤的文献综述
Núñez-Martín R,Cubedo Cervera R, Provencio Pulla M.
Servicio de Oncología Médica, Hospital Universitario Puerta de Hierro, Spain
Med Clin (Barc). 2017 Oct 23;149(8):345-350.
文献综述了从2000年-2016年关于GIST合并第二原发肿瘤的报道数据,论文检索到的第一篇研究发表于2000年,报告了6例合并GIST的胃癌病例,后期有报道10%的GIST合并其它实体瘤,在近10年一些样本量较大的报道陆续出现,GIST合并其它实体瘤发生率在8%-23%,其中最常见的是消化道恶性肿瘤,约占全部第二原发肿瘤的50%-60%,其次是泌尿生殖系统肿瘤,约占15%;最大样本量的研究来自美国SEER数据库,6112例GIST合并第二原发肿瘤发生率17.4%;发生率最高的报道来自德国的登记系统数据的836例GIST患者分析,中位随访65个月,发生率为31.4%,消化道恶性肿瘤发生率为43.5%,其中合并第二原发肿瘤的GIST患者5年生存率显著低于未合并者。
这篇综述应该是起劲为主对GIST合并第二原发肿瘤最为详实的报道,GIST患者总生存期长于其它常见的实体瘤,因此,合并第二原发肿瘤的发现率会更高,同时由于GIST患者随访期间会重点检查腹盆腔等GIST容易复发转移的部位,这也是消化道恶性肿瘤排在第二原发肿瘤发生率首位的一个重要原因。是否TKI的使用会增加第二原发肿瘤的概率,笔者记得2014年发表过一篇文章,在诊断GIST并给予TKI治疗一段时间后,第二原发肿瘤的发生率与GIST发病前其它实体瘤的发生率逐渐一致,说明TKI的使用并未明显增加患第二原发肿瘤的几率。这篇综述的数据将会使临床医生在为GIST随访过程中,增加对其它肿瘤发生的警惕性,不过也应注意到,合并第二原发肿瘤的GIST多为低度恶性,笔者在转移性GIST患者中见到过合并胃癌、结肠癌和肺癌的病例,但总体发生率估计在5%左右。
2、F-18 FDG PET/CT显像对GISTs恶性程度的预测价值-系统评价及荟萃分析
Kim SJ, Lee SW.
Department of Nuclear Medicine,Kyungpook National University Medical Center and School of Medicine,Korea
J Gastroenterol Hepatol.2017 Oct 10.
目标:本研究旨在通过系统评价及荟萃分析探索F-18 FDG PET/CT或PET/CT对于GISTs恶性程度预测的价值及其诊断精确度。
方法:检索PubMed、Cochrane Library、EMbase等数据库,收集F-18 FDGPET/CT或PET/CT显像对于GISTs恶性程度诊断预测的研究,检索时间从建库至2017年5月。计算该方法诊断的敏感度、特异度及阳性似然比(positive likelihood ratio, LR+)和阴性似然比(negative likelihood ratio, LR-)并绘制受试者工作特征曲线(receiver operating characteristiccurve, ROC 曲线) 。
结果:总计7篇文献,(188例患者),合并的敏感度及分别为0.88 (95% CI; 0.80-0.94),无异质性(χ2=6.15, p=0.72)、合并特异度(95% CI; 0.75-0.94),存在异质性(χ2=23.2, p= 0.01)。阳性似然比(positive likelihood ratio, LR+)为7.2 (95% CI; 3.3-15.3),阴性似然比(negative likelihood ratio, LR-)为0.13 (95% CI; 0.07-0.24)。诊断比值比(DOR)为54 (95% CI; 16-181).(TIPS: 诊断比值比(Diagnostic Odds Ratio,DOR):又称诊断优势比,是PLR+与NLR-的比值,即阳性似然比与阴性似然比的比值,计算公式(TP/FP)/(FN/TN)。反映诊断试验的结果与疾病的联系程度。取值>1时,其值越大说明该诊断试验的判别效果较好;取值<1时,正常人比患者更有可能被诊断试验判为阳性;取值=1时,表示该诊断试验无法判别正常人与患者。)
结论:F-18 FDG PET/CT或PET/CT在诊断预测GIST恶性潜能方面具有良好的灵敏度及特异度。然而目前有关该领域的研究较少,需要更多的多中心研究证实该结论。
诊断和治疗是临床两大永恒话题,本篇是较为典型的诊断meta分析。目前,18 F-FDG PET/CT广泛应用于淋巴瘤、肺癌及肝癌等疾病的诊断,对相关肿瘤的分期显示出较高的诊断灵敏度及特异性。本研究提示PET/CT对GIST的恶性潜能判断具有较高价值,若能通过该方式及时诊断预测,对于以指导临床用药、积极控制病情乃至为手术创造条件均具有重要价值,然而本研究的仍存在一些缺陷,包括:1.部分结果有较高的异质性;2.文章的发表偏移较高;3.样本量过少,这些均影响了结果及证据等级;我们期待未来有更多高质量的研究为GISTs的诊断拓宽新的道路。
3、隆突性皮肤纤维肉瘤与胃肠间质瘤-软组织肉瘤中靶向治疗的典范
Koseła-Paterczyk H, Rutkowski P.
Department of Soft Tissue/Bone Sarcomaand Melanoma, Maria Sklodowska-Curie Institute Oncology Center, Poland
Expert Rev Anticancer Ther. 2017 Oct13:1-10.
文献从流行病学、基因分型、新辅助治疗、辅助治疗、转移性肿瘤的姑息治疗、未来药物研发情况综述了隆突性皮肤纤维肉瘤(DFSP)与胃肠间质瘤的现状。内容比较全面但并不深入,不再一一引述。
该综述在GIST领域内的描述相对比较全面,与既往文献综述相差不多,由于与隆突性皮肤纤维肉瘤共同进行描述,因此,内容并不深入,还是老话:GIST初学者可当个学习材料;但另一个疾病隆突性皮肤纤维肉瘤我们还是应该关注一些,由于其发病机制与PDGFRB激活有关,因此它是另一个伊马替尼可有效治疗的软组织肉瘤,临床对其认知有助于为该少见病患者提供准确的治疗方法。
4、Randomized Clinical Trials in Gastrointestinal Stromal Tumors.
Liu Y, von MehrenM.
Department of Hematology/Oncology, Fox Chase Cancer Center, USA
Surg Oncol Clin N Am. 2017 Oct;26(4):545-557.
研究系统梳理了2010-2016年全球范围内的重要的前瞻性RCT研究,在辅助治疗领域,包括ACOSOG Z9001、SSGVIII/AIO、EORTC 62024,也提及了进行中的延长辅助治疗时间的研究;转移性GIST领域,回顾了B2222与EORTC 62005及 SWOG S0033的数据,并详细介绍了BFR14的研究进展,同时引述了舒尼替尼、瑞戈非尼、尼洛替尼、masatinib在晚期GIST的RCT研究数据,并展望了为免疫治疗的方向。
这篇文章引用的的确都是经典文献,但这些研究数据早已被大家熟记于心,同时文章亦未能站在更高更新颖的角度去深度剖析,显得文章价值非常有限,也未系统查询进行中的对今后临床实践很可能产生重要影响的临床研究。文章的责作von Mehren医生也是美国也是专注于软组织肉瘤治疗领域的,但很遗憾,这篇综述太过敷衍了!


