蔡徐坤最近太火了,一个证据是,除了连上热搜、粉丝狂涨之外,八他有没有整容的人也一下多了起来 ![]()
![]()
虽然粉丝不爱听这事,但实话讲,这也算是红了的标志之一啦,毕竟,哪位身带流量又长得漂亮的明星,没被八过这事呢?
然后话题随着各方讨论,最终聚焦到他整牙的问题上了。
也是,看蔡徐坤小时候的照片也看得出来,他的五官并没有什么大变化。▼
但侧面照轮廓确实越来越更好看,尤其是嘴和下巴的部分,整体看上去更精致。▼
连知乎上都有了相关话题的讨论帖。▼
其实 if 姐的牙齿并没有什么大问题,但架不住内心蠢蠢欲动,又有人介绍了很好的牙科诊所,索性跑去想看看,是不是自己脸型上不满意的地方,也可以整一整呢?
结果因为这家诊所是韩国医师开的,被我采访到了韩国练习生的标准整牙流程!![]()
![]()
![]()
首先,厘清一个概念,这种对天生自然牙齿的矫正,叫正畸 。
正畸也是韩国练习生面部轮廓美化的第一个步骤。因为这种调整不算在整容的范畴中,实际目的核心是矫正不规则、不健康的牙齿,但对于脸型的美化,等于是副产品。
如果没有做过正畸,就进行整形,有可能事倍功半,一些核心的问题,比如嘴凸,侧颜轮廓不好看,脸部不对称等等,也是解决不了根子的。
正畸在韩国明星的美颜流程里,可以说是必不可少了,很多人都通过这种方法调整过面部轮廓。
比如下巴的形状、嘴的形状,经过这道手续,不用打针削骨,也能有很明显的改观。▼
▲南柱赫
▲朴孝信
▲韩善花
对笑容的美化程度,更是可以达到天翻地覆的变化。▼
▲Jessica
▲朴宝英
具体到姐去的这家诊所,Dazzle Dental Clinic 典耀口腔门诊,正畸可以说是他家的王牌项目了。
他家有一些具体的正畸案例,效果也很惊人。▼
感觉虽然只是矫正了牙齿,但是整体颜的感觉都不一样了有木有?
从苹果肌到鼻子的形状、下巴的线条,都完全变了啊……▼
因为之前就对正畸知道一点点,也看过一些个案的变化,所以这次 if 姐本来就是想去看看,是否自己也需要正畸,是否可以让法令纹更浅,下颌更窄?
还以为就是看看牙,然后该拔就拔,该箍就箍,交钱走人就完事。
结果这个过程, 并不简单……![]()
![]()
![]()
第一步,是老老实实填单子,写明各种个人情况,单子我忘记拍了,但特别专业,问到大量关于药物过敏、家庭遗传、有没有做过手术、有无服药史之类的问题。
▲大堂的咖啡座很舒服,姐就在这里填的单子
从一进门就跟着服务的小姐姐,特别耐心的告诉我,这一步一定要认真填写,因为后续一旦进行拔牙等手续,都会涉及使用麻醉、药物的步骤,安全是最重要的,不可以不重视。
第二步,还没见到医生,而是要先做一个全面的牙齿CT。
机器相当高科技,小姐姐给 if 姐系好防辐射的隔离服,然后叮嘱姐咬好CT机上的一个位置,全面展开牙齿。
这个步骤会生成一个超宽的牙齿全形态X光片。
图片里左侧旁边的机器也会用到,它是用来测脸部轮廓比例的。
全部这些数据的测量结果,将会通过一个专业牙科医师软件,形成每个人不同的方案分析。▼
分析结果很专业,姐是完全看不懂的,不过这也不重要,医师看得懂就行了……
整牙模拟方案看着也特别高科技。▼
第三步,才是面诊。
面诊的时候,医师会先给你拍照,包括正面和侧面照,并且认真检查牙齿情况。
结合自己的观察和经验,搭配之前的X光片,以及电脑的矫正模拟方案,做出最终的诊断。
▲专属医师会在这个屏幕上给你看自己的X光片,并讲解方案
给 if 姐诊断的,刚好是院长,一位笑得有如春风拂面的韩国学霸。
但笑得再温柔,学霸也是学霸,所以姐被啪啪打脸了……
第一个就是,人家明确地指出,“正畸是为了矫正不健康的牙齿哦,我们特别不建议单纯为了外观美而拔牙什么的~~”
“确实有的正畸是可以达成外貌变化的,但如果只是为了好看而强行矫正,对牙齿的健康非常得不偿失,千万不要这样做。”
“而且并不是所有正畸都需要拔牙哟,毕竟是医疗手段,能够减少手术的,我们尽量都会采用不那么粗暴的方法来处理~~”
第二击则是:“您的牙齿CT,和侧面照片比对,结果是blablablalba……所以,您不适合做正畸哒,就算进行了箍牙,法令纹也不会浅,可能还会更深哦……” 得了,我知道自己瞎想的不靠谱啦…………
第三击则完全出乎意料了:“您的牙齿最大的问题是经常咬牙,所以下门牙的牙冠受损了,平时可以这样做 —— 放松牙齿,试试用鼻腔发出emmmmmm的声音吧?这个姿势对牙齿是最放松的,可以避免总是咬牙,放松咬肌哦。”
所以,姐本来想去整牙,结果最后拿到一个需要日常经常 “emmmmm” 的护牙方案。。。不要笑!虽然真的很好笑。。。
虽然靠整牙来美容的愿望破灭了,但这种诊断真的是很良心了,起码没有说为了赚钱,忽悠个方案就让我真拔牙。。。
这何止是没有硬性推销啊,简直可以说是把钱往门外推了 ![]()
![]()
![]()
而且他家的面诊也是非常严谨的,光姐那口没啥毛病的牙,就讲解了30多分钟,虽然院长只会韩文,但有翻译在场,任何问题、困惑都可以询问。
于是针对正畸的问题,if 姐也问了更多细节。
毕竟,他家正畸的效果,可以说是相当好。
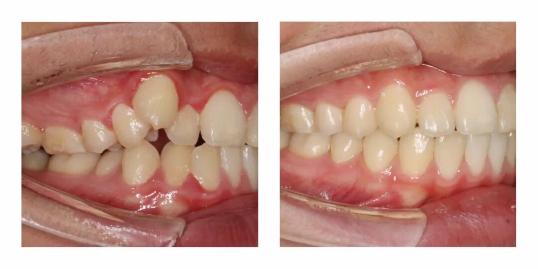
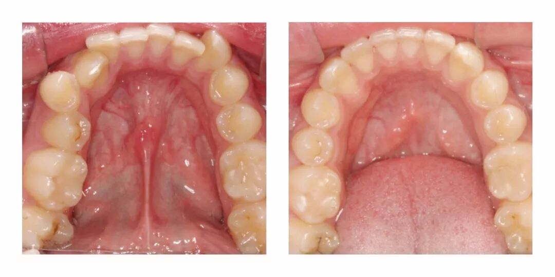
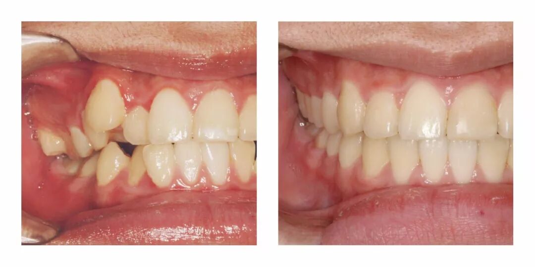
(下面会有一些他家矫正实例的图,膈应的小伙伴可以快速拉一下跳过去哈,我是觉得对比蛮神奇的)
开始放牙齿的图咯~~
图片结束~~~
下面就是关于正畸的一些常见困惑啦,if 姐想有的同学可能会感兴趣,就一起问了:
Q:标准专业的正畸流程一般是什么样呢?
A:首先是预约时间,因为诊断需要方案,不能第一次来了就做,这样方案并没有经过斟酌,草率匆忙的处理,容易留下后患。
经过CT和面诊后,会提供第一次矫正的时间,按照每个人不同的情况,有可能要先进行牙龈消炎等步骤,才能进行基础矫正或拔牙。
开始进行正畸后,每3-4周要进行复诊,合计经过1-2年完成整个流程,最快也要8个月以上。
因为牙齿是骨头的一种,如果过于暴力、快速的进行矫正,会导致牙根松动。
比如市面上有些正畸,只花3-6个月就能完成,我们也接待过做过这种流程的客户,但一是效果不好,会有反弹,第二是后续不能再矫正了,因为齿根变浅很多,再矫正可能会导致脱落。
所以建议大家正畸一定要选择靠谱的诊所,千万不能求快。
牙齿是一辈子的事,很多损伤不可逆,一旦没矫正好,又把牙齿基础搞坏了,就没办法再矫正了。
Q:正畸的拔牙有什么讲究吗?智齿如果都长出来了,是不是拔了比较好?
A:其实不是所有长齐智齿的都需要拔牙的,主要要看智齿是否对整体牙齿造成了不良影响。
而且贸然拔智齿危险很大,因为智齿最边缘有下颌神经管,如果不经过严格的CT和诊断,有可能手术时会伤到神经,导致之后无意识的流口水。(这条太吓人了)
而且大部分正畸的拔牙,并不会去拔智齿的部分,而是拔除以门牙为中心,向后数的第4-5颗牙,这个部位的牙齿,类似手的小手指,功能性最弱,拔除最不影响整体咀嚼和牙齿功能。
Q:正畸产品的类别有哪些呢?大概价格是多少?
A:正畸产品的类别,现在市面上比较常见的一共有六种。
金属的牙套现在一般很少有人用了,它的坏处就是难看,好处则是,它是正畸速度最快的,价格也便宜。
我们比较推荐的,是陶瓷、单晶、陶瓷自锁和单晶自锁牙套,产品图是故意拍的很清楚的,其实这四款牙套戴上后,正面距离半米左右,如果不是故意盯着牙齿看,也是看不出来有戴的。
隐适美现在市面上也很火,它是完全看不出牙箍痕迹的,但相比上面四款,稍微麻烦一点,需要吃东西时摘下,每天又必须戴够一定时间,矫正时间段也长,如果是自律性不足的话,容易前功尽弃。
价格方面,按照不同的材质和时长,正畸整体的花费,大约是2万元—5万元不等。
Q:正畸后的效果可以维持一辈子吗?会不会过几年又回去了?
A:这点有个很重要的流程要提醒大家,因为现在有一些牙科门诊会忽略这个问题,导致正畸后效果反弹。
牙齿是有惯性的,天生长成什么样,矫正后多少会有自然反弹,所以,有一个步骤必不可少,就是佩戴保持器。
保持器戴在是牙齿内侧的,通常正畸周期多长,摘除牙套后,就要配戴多久的辅助器,比如说,正畸花了1年,保持器就要戴一年。
经过保持器的配合,可以说正畸效果会保留的最完整,不会出现辛苦整牙后,没过半年又变形了的情况。
虽然这个过程听起来有点麻烦,但保持器是不需要摘除的,而且几天后就没有异物感了,所以坚持这一步并不困难。
Q:除了正畸外,还有什么美牙的方案推荐吗?韩国练习生除了整牙,一般还会做什么步骤吗?
A:说到这点,大家也可以了解一下牙贴面。
在韩国明星里,牙贴面也是很流行的产品,很多人都是正畸+牙贴面配合来做的。
牙贴面是指针对牙齿本身,制作独一无二的贴面,来美化牙齿,比如显得牙齿更白,或者掩盖牙缝,完善牙齿形状不规则的部分等等。
因为正畸是要使现有的牙齿排列更规则,不互相挤压磨损,但有一些牙缝的问题和牙齿本身的状态相关,不见得可以完整的拼合,同时,一些不健康的牙齿,也不建议再多去磨损它了,所以牙贴面就可以起到最终美化的作用。
进行了牙贴面的牙齿,可能会比原来的牙齿稍微大一点(这样才能盖住),但只要是经过靠谱的诊疗和方案打磨,都不会出现大板牙的情况。
针对不同的问题,诊所都会调整贴面的宽窄和形状,每个人的方案都不同,这点大家可以放心。
(顺带一说,if 姐查了一下,刘涛说的贴薄片就是牙贴面,比起贸然换整颗牙,这个方式不仅花钱少,而且安全性更高)
在Dazzle Dental Clinic 典耀口腔,牙贴面的价格是4800—8600元 / 颗,针对不同的大小、材质会有浮动,可以具体和医生商量方案。
看到一些他家的资料,做完的效果,显得牙齿一点都不大,很秀气。过程也比正畸省事,去两次就可以搞定了。
有些问题不严重的牙齿,完全可以不正畸,直接做贴面。
他家的牙齿服务项目其实很多,还有牙齿冷光美白、美学修复(只针对门牙)、补牙、洗牙等等。
姐也帮大家问了一下价格。
冷光美白,3800元 / 全口牙齿。如果平时不抽烟+不怎么喝咖啡,可以保持3年。他家服务比较严谨,美白后一周最好也去复诊一下。
(附一个知识点:医生提醒,千万不要随意在网上随便买DIY美白产品,很多人的牙釉质就是被三无产品搞坏的……)
美学修复,这个只针对门牙,因为是脸面上的牙嘛,技术很好,店里有很多案例可以看,价格是1800元 / 颗,看图例的美观程度,也是很划算了。
补牙,是指非门牙的牙齿补全修整,580元 / 颗,比较便宜。
必须推下他家的洗牙,360元一次,过程超级温柔,弄什么都会先告诉你,提醒你可能会有一点刺激,不舒服随时举手就会停,很多小朋友去了都不会怕的。
如果要做正畸或者贴面什么的,if 姐觉得,可以先去体验,做下CT和诊疗,看看案例,和医生好好沟通一下方案。
毕竟,钱和时间不能白花。
目前只限北京有店,外地的小伙伴们,不好意思啦……
但他家因为技术好又实在,所以也有很多外地客户来正畸的,毕竟如果是真的打算好好整牙,还是找个好诊所最重要啊。
if 姐也推荐了不少朋友来这里看牙,主要看重的,第一是他家态度专业可信,不是一锤子买卖,不是忽悠完人,再把你牙搞的无法收拾那种野路子诊所。
其次,技术是靠谱过硬的,毕竟这份时间和钱都花出去了,当然要找个做的最好的诊所。
最后,他家相对公立医院还是好预约的,服务态度也好。
但要注意的是,好的服务肯定是需要预约的。
他家的预约电话是:010-64796692,010-64796693,提到 if 粉丝,会有额外的优惠!!
面诊+拍片(就是姐上面体验的那个过程,可以进行全方位的牙齿检查,并建立你自己专属的档案),原价160元,if 粉丝福利价则是 58 元~~
在预约和就诊时,提到你是 if 粉丝,就可以确认用福利价进行检查啦~~~
五一假期也要到了,大家正好可以约起来~~
最后,给所有牙齿越来越美的姑娘,
点个 赞 吧~~~


