单纯从生理角度看,牙齿美容必然伴随着对牙齿的损害。但从心理角度看,尊重患者的爱美之心,让他们能够在工作和生活中更加自信,不会因牙齿问题而自惭形秽,这是牙科医生应该做到也必须做到的。
但爱惜牙齿、负责任的牙医提倡“应以最小的生理代价,获得最大的美容效果”。
何为最小的生理代价?
修复中,牙医将它粘接到仅需磨除唇侧0.3mm以内厚度的牙面上,来改变牙齿的形态及颜色。因此很多牙医形象的将它比作“手部美甲贴片”。 瓷贴面的优势是: 安全:磨牙量极少,保护更多牙体组织。 美观:色泽自然透亮、可以媲美真牙。 持久:无排斥性,耐磨耐腐蚀。 精致:精密操作,精制牢固。
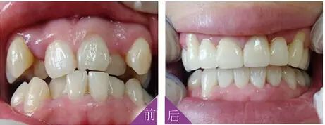
修复后:形态自然、亮白,牙龈健康。 修复前:重度氟斑牙,美观度很差 修复后:瓷贴面修复后,形态逼真,色泽亮白。 修复前:门牙长宽比例过窄过短,伴有缝隙。 修复后:瓷贴面修复后,比例协调,自然。 修复前:重度四环素,牙面不平整,伴有瓜子牙 修复后:亮白富有光泽,牙龈健康,美观度佳。 (此病例:其实采用美容牙不仅可以改变颜色形态,还能改善下牙整齐度,但要磨除大部分健康牙体,代价太大!最终医生为了患者健康,采用磨牙极少、保护牙体的瓷贴面解决了患者的主要诉求。)
修复前:牙齿色泽、形状不佳(放大图是瓷贴面预备,磨除牙齿后的状态,可见对牙齿磨损极少)
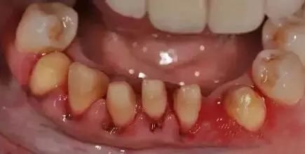
刘涛为什么说 “牙齿健康千万别想着去换美容牙” ? 让我们来看两组“美容冠矫正牙齿”的案例 美容冠修复后的牙,看起来很漂亮,您也很开心,对不对? 一旦使用中出了问题,需要一而再、甚至再而三做全口重建,您还笑得起来么? 后悔了现在? 但是,您原来的健康牙体再也长不回来了!!!
关于·About
订阅与联系
❶ 回文章顶部,点“ 李大夫口腔工作室 ”进行订阅(推荐)
❷ 搜公众号“李大夫口腔工作室”
关注李大夫口腔工作室,了解最全面的口腔保健知识


