成功的牙周治疗都离不开规范的基础治疗,而洁刮治是牙周基础治疗中的重要组成部分。在本期文章中,赵领洲博士将以实际的治疗过程为例,向各位医生展示牙周洁刮治术的临床操作要点(包括医生与患者的位置、姿势与选用的工作尖型号)。
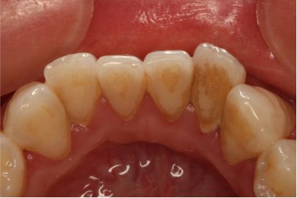
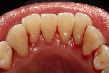
术前
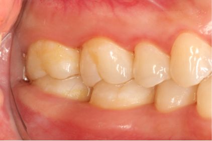
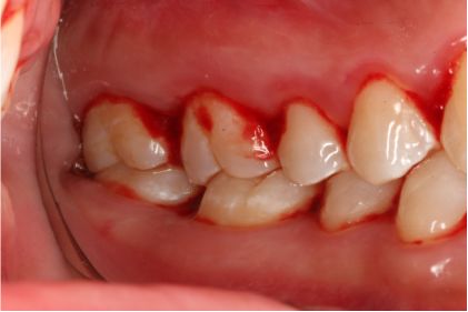
超声洁刮治术即刻
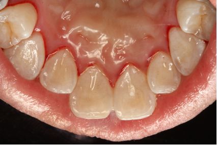
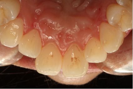
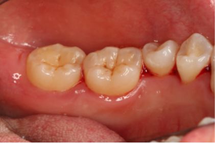
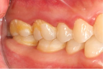
超声洁刮治术后5周
牙周洁刮治术的标准操作方法介绍视频
啄木鸟医疗
官方微信公众号
产品小程序
成功的牙周治疗都离不开规范的基础治疗,而洁刮治是牙周基础治疗中的重要组成部分。在本期文章中,赵领洲博士将以实际的治疗过程为例,向各位医生展示牙周洁刮治术的临床操作要点(包括医生与患者的位置、姿势与选用的工作尖型号)。
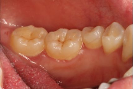
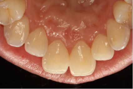
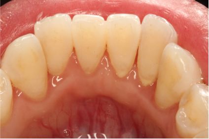
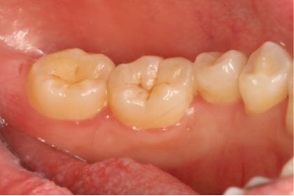
女,38岁,主诉牙龈出血1年,无系统疾病及药物过敏史。检查:牙列式18-27、37-47;18伸长,无咬合;口腔卫生欠佳,可见牙石、软垢,后牙区牙石软垢较多,全口牙龈边缘充血水肿,探诊出血阳性,牙周探诊深度3-4mm。诊断为慢性牙周炎(轻度)。
采用PT5牙周治疗仪进行全口超声龈上洁治术、超声龈下刮治术。术后5周复查可见牙龈炎症明显减轻,仍有轻度炎症,复查发现患者口腔卫生维护欠佳,再次进行口腔卫生宣教。
术前
超声洁刮治术即刻
超声洁刮治术后5周
牙周洁刮治术的标准操作方法介绍视频
啄木鸟医疗
官方微信公众号
产品小程序
功能介绍:桂林市啄木鸟医疗器械有限公司,专注于齿科医疗器械的研发、生产、销售一体化服务,超声洁牙机全球产销量20万台,六大系列产品畅销137个国家及地区。
