病 史
患者,女,55岁。体检发现肝内占位。肿瘤指标(AFP: 2.1ng/ml,CEA: 0.9ng/ml,CA19-9: 5.2U/ml)及乙肝五项均阴性。
影像学检查
CT图像
MR图像
答案往下
影像学表现
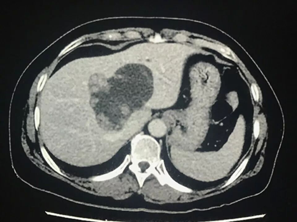
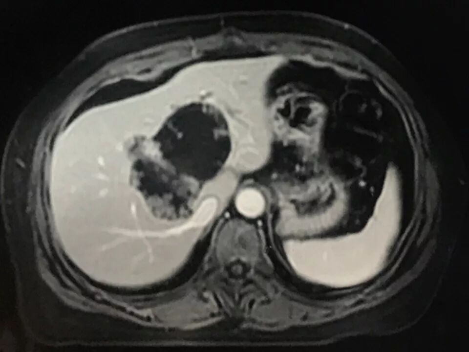
CT表现:
肝内单发占位灶,累及肝左右叶及尾叶。病灶平扫呈低密度,边缘见数枚等密度结节,无钙化,动脉期结节强化,呈等高密度;门脉期结节密度较正常肝实质呈相对稍低密度。
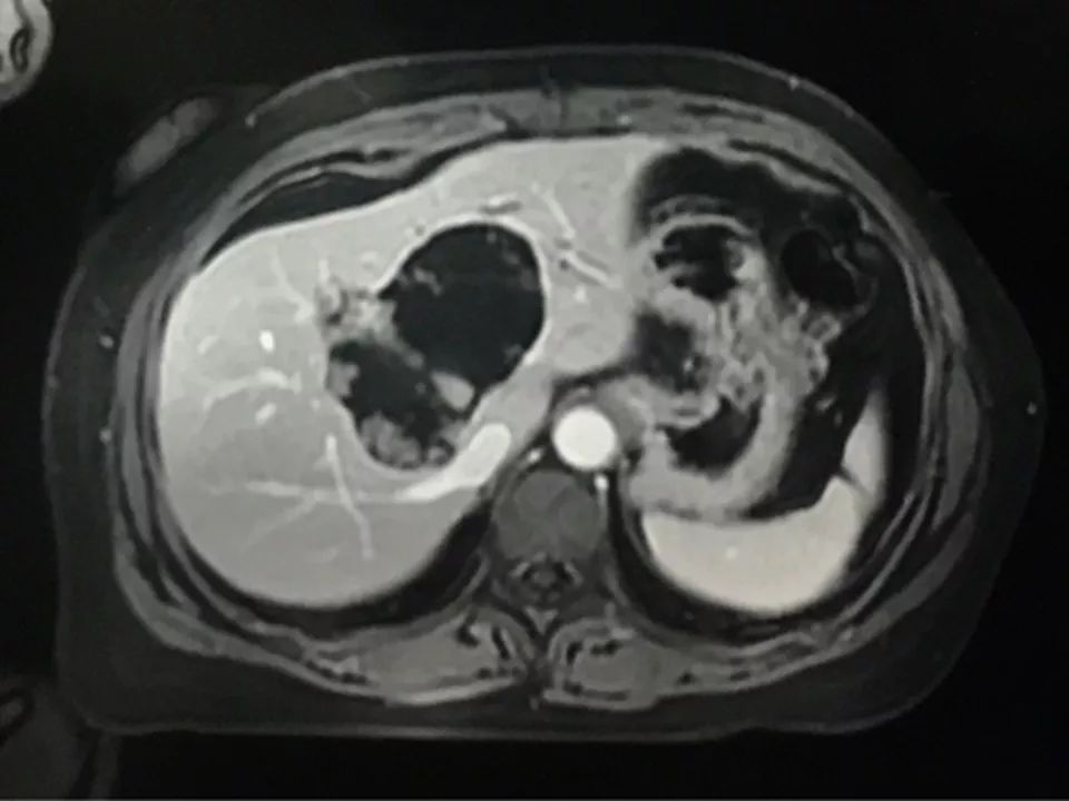
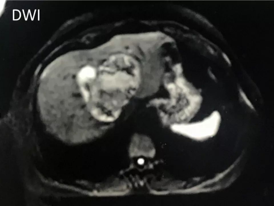
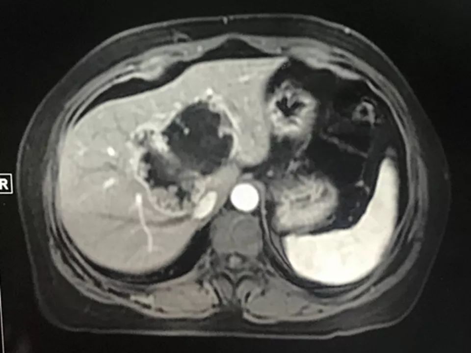
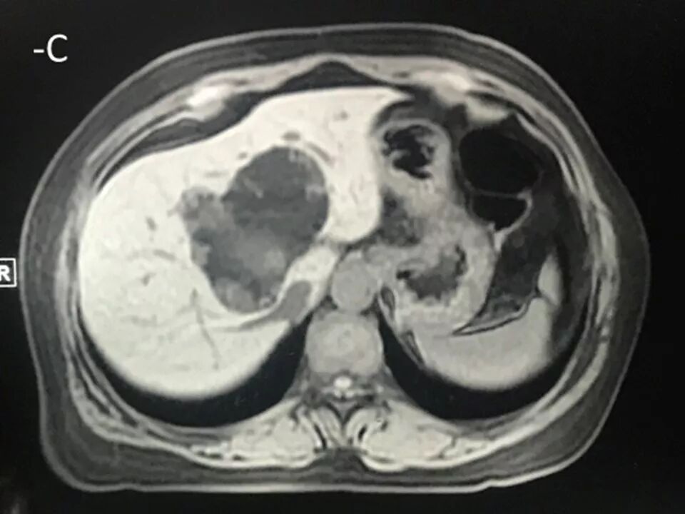
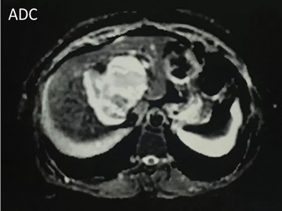
MRI表现:
肝内单发占位灶,累及肝左右叶及尾叶。T1WI示病灶以低信号为主,边缘多枚等信号结节,正反相位未见明显脂肪成份;T2WI示病灶以粘液成份为主呈高信号,边缘多枚稍高信号结节(相对肝实质),DWI呈不均匀等高信号,ADC图以高信号为主。动脉期病灶边缘均匀强化,壁结节显著强化,门脉期边缘仍持续强化,边缘光滑,壁结节呈相对等低信号。MRCP示胆管扩张,病灶与胆管相通。
病理结果
巨检:
囊实性肿块,大小约6x5.5x3.5cm,切面灰白囊实性质软,界尚清,周围肝灰黄色细腻。
诊断结果:
胆管内乳头状肿瘤,嗜酸细胞型,伴腺上皮重度异型增生,癌变,肿瘤组织主要位于胆管腔内,局灶区侵犯胆管壁间质,但未累及肝实质。ARG-1(-), CD34(血管+),CK19(+), Muc-5AC(+),MUC-2(-), MUC-6(+).
讨 论
胆管内乳头状瘤(Intraductal papillary neoplasm of the bile duct,IPNB)是一种少见肿瘤,主要发生在远东地区(中国、日本、韩国等),好发于35-80岁人群,平均发病年龄为64.6岁。男性较好发,男女发病比率为1.5。IPNB可发生于肝内或肝外,根据发病部位及胆道梗阻程度不同可有不同症状,包括右季肋部疼痛(35%-88.5%),反复发作的急性胆管炎(5%-59%)以及梗阻性黄疸(20%-36%);约5%的IPNB患者无症状。
病理上,IPNB与胰管内乳头状粘液瘤(IPMN)类似,为发生在胆管内的沿纤维血管核心的乳头上皮增生,病灶内缺乏卵巢样基质,免疫组化标志物MUC5阳性。根据其组织学特点及免疫组化特点分为四个亚型:胰胆管型 (41.8%),肠型 (28.0%), 嗜酸细胞型 (16%)和胃型 (13.5%)。
IPNB的预后较胆管细胞癌为佳,生存率与浸润的比例与深度、淋巴血管的侵犯程度及细胞的去分化程度有关,与患者的性别、年龄、发生部位与组织学亚型无关。
影像学诊断与鉴别诊断
影像学最重要的特点是病灶与扩张的胆管相通,病灶内见多发结节。胆管内结节T1WI呈等低信号,T2WI呈高信号,肿瘤常可分泌粘液。由于缺乏卵巢样基质,动态增强曲度呈轻度“wash-in&wash-out”,动脉晚期肿瘤呈等高信号,门脉期和延迟期呈等低信号。
鉴别诊断:
与胆管相通的病变:局灶性Caroli’s病(中央点征);胆管内癌栓(结合临床,有原发肿瘤,癌栓呈持续性强化)
与胆管不相通的病变:肝内胆管细胞癌(CA19-9常增高,病灶以持续性强化为主,壁厚不均匀);肝内粘液性囊性肿瘤(多房分隔样病变,囊壁可有钙化呈持续强化,多房信号或密度不均匀);间质性错构瘤(好发于儿童,呈多房囊性改变,可有部分实质成分);血管淋巴管瘤(以延迟期强化为主,密度信号高于肝实质)。
参考文献
Luvira V, Somsap K, Pugkhem A,et al. Morphological Classification of Intraductal Papillary Neoplasm of theBile Duct with Survival Correlation. Asian Pac J Cancer Prev. 2017 Jan1;18(1):207-213.
Masayuki Ohtsuka, HiroakiShimizu, Atsushi Kato, et al. Intraductal Papillary Neoplasms of the Bile Duct. Int J Hepatol. 2014;2014: 459091
Egri C, Yap WW, Scudamore CH,et al. Intraductal Papillary Neoplasm of the Bile Duct: Multimodality ImagingAppearances and Pathological Correlation.Can AssocRadiol J. 2017Feb;68(1):77-83. doi: 10.1016


