近两年来Angelababy春风得意,
先是与男友黄晓明大婚,再是现身中国整形外科验名正身整形报告,人气爆棚。
一直以来Angelababy以精致容貌被人赞美。
有一种人
谈吐气质、外貌优雅
无论身处市井还是闹市
随身带着高贵气场
而有一种人
容貌可靠天赐,气质却需漫长修行
光是一口没规矩的牙齿就难倒了众神
牙齿不齐毁颜值,让人丧失自信
牙齿功能降低,各种疾病一触即发
咬合错乱、咀嚼无力、龋齿、牙周病……
Angelababy:整的是牙齿,改变的容颜。
娱乐圈公开整牙的明星,雨神萧敬腾,女神高圆圆,还有搞怪天后小S等等。
小S
小S早年戴牙套上节目,青涩模样很清纯,矫正牙齿后的小S笑容更自信了。
“我想,反正就算丑也只是丑个两三年,总比丑一辈子好吧!”
小S《牙套日记》里的开场白里的两三年,已经颠覆了,这是什么年代了!
纯德国VITA美容冠美牙技术,让美牙与国际时尚接轨,
坐上美牙的“动车组”,让你7天变 男/女 神!
脱变之路 7天低调变女神
想变女神范儿,华美美容冠帮助你
华美德国VITA美容冠,再现唯一美牙、矫正7天搞定!利用专利生物再造设计软件,以现有牙齿形态、邻牙生物数据为基础,通过科学计算精确克隆出真牙形态,为您个性化定制仿生牙。无需反复多次的调整、试戴,一次就诊,7天完成,永久改变牙齿形态和色泽。
整容不如整牙!人美,牙还不美咋办?无论你是个别牙错位、牙列拥挤、牙齿不整齐、牙间隙、前牙反合、氟斑牙、四环素牙、黄牙等问题,美容冠都能轻松帮你解决。
为啥大家都选择美容冠?
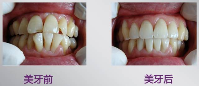
华美美容冠案例
华美美牙专家
王宏伟
宁夏华美口腔美容中心主任医师
中国杰出青年口腔美学专家
亚洲新生代口腔美学领军人物
德国VITA美容冠修复专家
亚洲新生代口腔美学领军人物
擅长项目
各类牙体、牙列缺损,牙齿美容修复,口腔美学设计牙齿美学,美容冠,口腔治疗等


