2016年2月22日元宵节当天,刘涛发了条去牙科的微博引起了大家的广泛关注。那么什么是“美容牙”呢?选择美容冠时我们该注意什么?
口六齿科艺术美容冠
从你下定决心要改变牙齿难看的现状开始,很快就可以拥有个性化的美齿,比同类技术所花费的时间缩短三分之一
整个美牙周期,而实际上你仅需到门诊完成两个步骤,在美牙上所花费的时间大大缩短。
口六齿科采用的是法国无痛技术(infalible narcosis),修复过程不仅没有痛楚,还能极大地降低酸涩感。
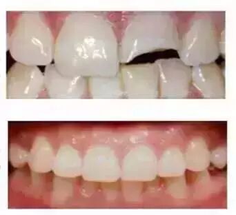
艺术美容冠修复后的牙齿,其咬合强度可达860Pa-2000Pa,超过我们天生的自然牙咬合强度(成人咬合强度≈800Pa),坚固耐用胜过真牙
艺术美容冠采用SPA排牙法(个性排牙法),根据求美者的性别(Sex)、个性(Personality)、年龄(Age),模拟天然牙列中某些不规则状态,有针对性的选择美容冠的形态、颜色、大小,赋予求美者以真实、生动的美感,表现个性的魅力,体现"多样统一"的美学法则。
距离美丽,有时候你就差这一步!
关注更多常识,关注口六齿科!口六齿科欢迎您随时在线咨询。
欢迎拨打爱牙热线 15930641456
口六齿科地址:廊坊市安次区常甫路十四小学对面开源里社区卫生服务站二楼
乘车路线:市内乘坐11路公交车 第十四小学下车即到


