【新氧(微信号:soyoung111)的每篇文章都是用心原创内容,欢迎大家转到朋友圈,转载及合作请联系新氧微信~多谢合作~】
娱乐圈里提起颜大家都服气的并不多,羊提名娜扎和热巴应该没人反对吧!
再想起佟丽娅、麦迪娜、代斯,不得不说新疆真是出美女啊,五官立体,漂亮有辨识度。这颜值堪比一个连的战斗力。
娜扎就算是黑历史一堆,但光看她的脸吃瓜群众也很知足啊。
热巴更不用说了,堪称颜值收割机,出道时间不长但是收获一堆颜粉。
但她们两个都悄悄的改变了同一个地方,听羊详细说来。
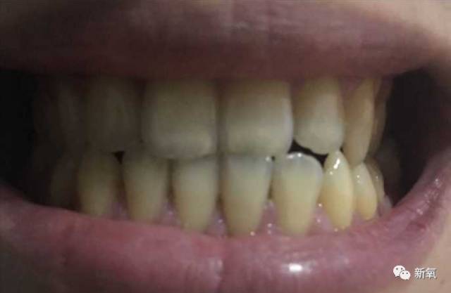
娜扎的颜是我们肉眼能看到的一步步在变美,羊之前写过很多次了,但牙齿这个地方却很少有人关注到。她很早之前牙齿有点黄,这个时候的脸异域感好强。
最早时期牙齿不齐加暗黄,在高清镜头下还是一眼能注意到牙齿的。
之后就是一口大白牙,再怎么笑都能hold住任何角度的镜头。
热巴在《古剑奇谭》里还能看出一口小奶牙,现在是一口娱乐圈标配白洁整齐的大白牙。
牙齿美白,这应该是热巴脸上动的唯一一个部位了。丫丫也是,就算是神颜级别的女神,也经受不住牙黄的毁灭性影响。
明星们因为职业特殊性,每天都要在聚光灯下,每一个小细节都不能忽略,因为牙齿问题上新闻的可不少。
包括越来越时尚的赵丽颖,漂亮、呆萌的脸,可是牙黄真的很影响美观,尤其是在脸上粉那么白,对比下就美感全无了。
所以当女神们意识到这个问题后都及时来补救,导致现在半壁娱乐圈明星都动过牙,从小黄尖牙到发白闪亮、粒粒分明的大白牙。这应该算是进娱乐圈入门级别的改善了。
所以这些站在颜值尖端的女明星们都是怎么把自己的牙搞白的呢?首先我们要明确一个问题,到底是哪些因素导致我们的牙齿变黄?
一是生理性因素:牙齿随着身体慢慢长大,不可避免的有颜色的改变,就跟人的皮肤一样,小的时候白皙粉嫩,长大后会出现各种问题。
二是外源性因素:喝饮料、咖啡、茶的色素等附着牙齿上,就像你喝茶后留在杯子里的茶渍一样。
三是内源性因素:就是遗传了。
针对这些原因我们一方面可以采取一些护理的方式来保持,但是不是任何方式都可行的,小心美白有代价!
烤瓷牙
烤瓷牙,简单来说就是将牙齿均匀磨小一层(约1.0-1.5mm),然后用专用材料套到磨过的牙齿上,相当于给牙齿套上一件新衣服。
在明星中,很多人都做过。
它的效果明显,但是很折磨人。如果中间有什么损伤是不可恢复的,所以刘涛就是反反复复修复了好多次,中间受的煎熬只有她自己清楚了。
牙贴片
牙贴片,原理是将牙齿表面磨掉一点点,或者不磨,然后将特定的材料贴附在牙齿表面。
优点是效果显著,过程不痛苦。缺点是让牙齿变厚,像龅牙。不能吃硬和酸的东西,可能会脱落,而且对医生技术要求比较高。
这个用户做过牙贴面后再没啃过苹果,头一年里其中两颗分别掉过2次。价格每颗牙在500—2000不等。
冷光美白
冷光美白,是靠化学方式来美白的渠道。效果直观,特别适合临时有重要场合救急来用。
缺点就是牙齿无色泽,死白,术后一般是不能吃有色素的食物,茶,咖啡,甚至有色素的水果,因为吃了会让你的牙齿变得更黄,改变这么大的生活习惯不太现实。
电动牙刷
为了避免不尽如意的事后补救,日常生活中的牙齿护理就显得尤为重要,其中最重要的就是日常清洁!刷牙!
电动牙刷相比普通牙刷哪个更好这简直就是道送分题,压根不用思考就能做选择的,绝对是电动牙刷诶!
羊是很早就用电动牙刷,来来回回也用过好多款,就来说说自己的感受。
清洁度更强,电动牙刷靠着刷毛高速震动,不仅能彻底清洁牙齿表面,还能深入清洁牙缝,牙齿死角都能刷到,简直是万千大众的福音啊,一旦使用就戒不掉的神器。
还能减少牙龈出血,比手动刷牙多清除38%的牙菌斑,重点是牙垢和牙结石真的刷的掉,电动牙刷!
日常生活中将牙齿清洁到位也是能有一定美白效果的,特别是经常接触咖啡、巧克力、饮料、咖喱之类的,那就可以交给电动牙刷了。
但是选择什么样的电动牙刷也是个学问,羊考虑的因素有:刷头的软硬度、清洁力度、续航力度、震动声音、呵护牙齿这几方面。
就从羊使用过的心得来看,是否越贵的牙刷,越好用?真的不好说,装逼还需谨慎。综合各方面考虑羊锁定了usmile 电动牙刷,看这么粉嫩清新的颜色完全满足了颜狗们的需求。
第一次知道usmile是在《辣妈学院》节目里,看到李维嘉推荐过。
现场还有测评,牙菌斑明显的减少,看到后就很心水。
关键是它小清新的外表真的很戳少女心,从颜值方面它就先赢了,我入手的是情侣款,一不小心又秀恩爱了,哈哈。
而且usmile还有一个很灵气的设计,手一碰,呼吸灯就亮起了,真的很暖心,就像有生命一样。
但是你们懂得羊并不是一个肤浅的人,还要看它的内在功能。查了资料发现usmile竟然还获得过国际三大设计大奖,德国红点奖,台湾金点奖、中国红星奖,厉害!生平第一次想为电动牙刷打call!
接下来要看U1的实用性了。
清洁力度
这个是最基本需要考察的点,我们平时手动刷牙每分钟最多也就两百来次,而U1每分钟振动就有38000次,清洁力自然提高了不少,来个动图更直观的感受下这动力,用技术来征服你们。
usmile一共有三个档位,分为清洁(Clean)、美白(White)、呵护(Soft),可以根据自己的刷牙需求随意切换,够智能!
这就相当于它既可以亮白牙齿、日常洁净,还能呵护敏感牙龈,功能想当全了。羊因为是重度咖啡患者,就是冲着想要一口大白牙来的。美妆达人po的效果图,牙齿白了好几个度。
usmile还有很智能的一点,每满30s变频振动一次,提醒该换区刷牙了,满2分钟的时候,牙刷会变频振动三次,刚好就是科学的刷牙时间。
刷头呵护
有宝宝担心用电动牙刷会不会震感太强刷出血?
usmile刷毛很细软,而且末端都进行了打磨,所以不会划伤口腔,就在是给牙齿做按摩。
usmile的刷头标配有专业款和呵护款, 是采用美国进口杜邦刷丝,特别地软,刷起来很舒服。
而且它还很神奇的一点是当你刷的太用力时,usmile还会智能减弱振感,这样就可以避免刷牙过力损伤口腔了,太强大了,可以说全方位走在电动牙刷届前端了。
续航能力
usmile在续航能力方面简直无敌了,充电三小时,使用六个月,一年只需冲两次电,就冲这点已经遥遥甩同等产品好几条街了。无图无真相,直接用数据来说话。
噪音方面
U1的震感相比很多电动牙刷,震感会比较柔和,刷起来会更舒服的,不会像拿着电锯一样,振到手麻嘴麻,而且也无噪音,就算是学生党也不怕吵醒室友。
数值越小说明声音越小
除了强大的功能,超高的颜值,usmile的贴心的设计绝对是业界良心!
U1还有一个壁挂设计,可以稳稳地吸附在墙上或者镜子上,这也是其他电动牙刷没有的,因为一般电动牙刷都是平底放置,底部很容易发霉,U1的壁挂就很好地解决这个问题。
U1还配置了PU旅行便携包,方便出差旅游带上牙刷,质感不错。
接下来就是最重要的价位方面了,很多小仙女顾虑的一点就是电动牙刷有点贵,但是你买过洗脸仪吗?
细想一下,其实一款300多块钱的电动牙刷,也差不多一两只口红的价钱,而且最少用上两三年,一天只要5毛钱,还是很划算的。
毕竟一口好牙才能做个吃货,国外把一口好牙当做生活品质高的标志,一张嘴蛀牙、黄牙那也是很拉低印象分的。
还有这么高颜值的电动牙刷也是可以当做礼物来送,有男朋友的还能入个情侣款虐个狗。
只推荐没有福利当然不是羊的风格了,接下来才是大重点!
「 粉丝专属福利区 」
只要宝宝花1元预定
双十一当天购买更划算 还送赠品
福利一 价格比双十一便宜
双十一价格389元
买一支:预定价格369元
买两支:再优惠40元 每只价格349元
预定链接
粉丝¥L6d106XAM5z¥淘口令
长按复制以上整段文案,打开手机淘宝app即可,别忘记¥符号哦
注意:如果淘口令打不开,就在淘宝搜索“usmile旗舰”,咨询客服回复新氧也有优惠
福利二 再送赠品
买一支:送69元定制版硅胶杯
买两支:赠品翻倍 送情侣CP版硅胶杯
(真爱就是剁手也想给Ta一份)
【注意】抢购步骤
1. 拍下1元预定链接,买多支也只要拍一个一元即可(才算预定成功)
2. 预定后一定要加入购物车(抢购更快)
3. 11号0点抢购,还有刷头礼包(记得哈)
看不懂步骤的宝宝滑动下面图片哦
☟☟☟
评论有礼
在评论中聊聊自己的小白牙护理小秘籍,截止11月10日晚上10点,用心评论的一位朋友可免费获得usmile 电动牙刷一套,双十一已经买到的,直接免单!
喜欢羊的就点个zan再走,用你们的小手手来表达,下次更多福利送你们!
点击阅读原文,再点击淘口令购买,也可预定。


