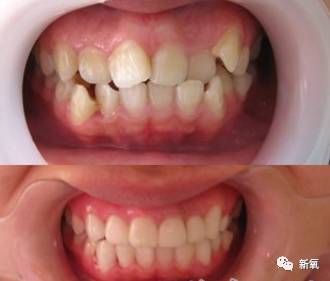
好久没有给大家讲牙齿的知识了吼,上一次好像还是写整牙时间和颜值的关系,没看过的戳:欧阳娜娜整得最成功的部位你绝对想不到!
简单来说,如果是涉及到颌面问题的地包天,可以在3-5岁就求助牙医进行干预,不然会影响上颌骨的发育。
如果是龅牙、嘴凸(骨性的),在开始换牙后(8-10岁)就可以看情况决定要不要整牙。
如果是最常见、也是困扰最多人的牙列不齐(轻微颌面问题),最佳矫正时间是12-16岁。
当然抛开这些最佳时间,即使成年后,30+、40+··· 只要自己愿意,同时牙龈健康等方面都合格,也是可以矫正的,只是效果和能改善的范围就会变小。
除了整牙时间和颜值的关系,羊还写过和牙相关问题的分类、怎么判断和解决、牙套脸··· 老规矩,都在菜单的干货栏里哦。
好啦,回顾完我们来说今天的正文啦~
先明确一下正畸的原理,不然后面的内容大家可能会不理解为啥要那么选。
牙移动是基于牙齿受力的引导发生了改建,不是力量拽动了牙齿,是激活了牙齿周围骨质的生物学反应。
说得更清楚一点,就是当牙齿受到外力的推拉就会挤压牙齿和牙槽骨之间的牙周膜,牙周膜中毛细血管内的血液流通受阻,形成缺氧的状态。
为了让血流畅通,受力点就会释放大量的信号,这些信号激活牙周膜中的“噬骨细胞”,将受到挤压一侧的牙槽骨吞噬掉一些,进行血管重建,来供应组织的养分与氧气。当局部的牙槽骨被吞噬吸收,牙齿就发生了真正的位移。当然另一边也会相应的出现骨质沉积,产生新的牙槽骨。
在这个过程中,弹性弓丝施加的力量,就像是火车头一样沿着轨迹来引导牙齿的移动。
因此这个固定牙齿的“钢丝”可不是随随便便就可以拿根铁丝就替代的,它需要具有“记忆性”。即使因为牙齿不齐,暂时将它们变弯,也得时时刻刻朝着变回原本的弧度努力着,这个变回去的过程,就牵拉着牙齿也跟着移动啦。
这个弓丝的选择非常多,而且同一材质在整牙的早中后期也有不同的型号,这要细说的话羊得出本书
,所以请大家一定要好好挑选医生,他们自然知道你的情况在什么时候用什么材料最好。
而且他们还直接决定这个矫正最终是否会成功!举个例子,托槽的固定位置是不是看起来很简单、毫无技巧性?
可是··· 如果托槽固定的太低,就会像下面。本来牙就是外倾,结果下牙托槽粘的太靠近牙龈了,矫正后牙没有往里,反而连牙龈都越来越往外。
而固定的太高··· 杨幂就是一个现成的例子,原本牙齿是竖直的。
所以嘴巴也是正常的。
结果整牙之后牙齿变成了内扣(内倾)的。
所以嘴巴也变成了瘪嘴。
如果不是医生固定托槽太高,就是她自己刻意想要这样的效果,不排除这个可能是不?
(图片来源:《现代口腔正畸学(科学与艺术的统一)》)
了解完原理和各个部分的重要性,终于下定决心去整牙了!结果到了医院瞬间傻眼··· 传统金属托槽、陶瓷托槽、舌侧矫正、隐形矫正··· 这都是啥?该怎么选?
其实没那么复杂,一共六种,你们可以把它分为两类来看,一类是非隐形的,一类是隐形的。
非隐形的有四种:金属普通托槽、金属自锁托槽、陶瓷普通托槽、陶瓷自锁托槽;
隐形的有两种,一种是隐适美那种全透明的、一种是舌侧的。
非隐形的四种
1. 传统金属托槽
就是我们最常见的那种“钢牙”,应用时间最长的经典款。托槽和弓丝都固定在牙齿外侧,一露牙就能看到。这种托槽是适用范围最广、性价比最高的,但较难清洁牙齿。
2. 金属自锁托槽
托槽的材质依然是金属的,但托槽与弓丝的固定方式有所升级。
简单来说,是把固定方式从用绳子(钢丝)绑定,变成了自动的锁定。从舒适感、效果、矫正时间等方面都优于传统金属托槽。
为啥改变一个固定方式就能有这么多好处?
还记得上面羊说过的牙套作用原理不,就是弓丝的正畸力引导那些牙齿移动到正确的位置是不?
但!是!如果施加的力量过大,牙周膜过度缺血,会导致牙周膜内的“噬骨细胞”无法产生,牙齿移动受阻。
那么在这个过程中,有一个不可忽略的力量损耗就是滑动摩擦力。
可以简单的脑补为弓丝要带领着牙齿不断移动,它本身是在托槽中持续移动的(正畸中的滑动机制),而在滑动的过程中,是不是会和托槽产生摩擦力?而传统方式就像下图中的绑绳子,大大增加了它移动的摩擦力。
有研究指出,在滑动机制中摩擦阻力可导致矫治力丧失12%-60%。
那么自锁的优势就显现出来了,自锁托槽以低摩擦力著称,正是因为它特殊的结构设计减少甚至消除了结扎力,自然就可以在轻力、快速的前提下完成正畸。
所以在这个前提下,自锁的普遍可以比传统的节省4-6个月。而且因为自锁的没有结扎线来固定,所以也不容易挂嘴。从移动快、舒适度高两方面来看它的优势就非常明显了。
3. 陶瓷普通托槽
就是把金属托槽换成了陶瓷的,从美观度上得到提升。
但是羊仔细研究了一下相关材料,对于效果、矫正时间等等方面陶瓷相较金属并没有明显的提升,而且陶瓷的托槽会比金属的略厚,如果有龅牙等问题,很有可能刚开始戴上会觉得嘴巴更加包不住,随着矫正的进行会慢慢缓解。
当然如果是非常在意美观度,预算又不足以选择隐形牙套的,选陶瓷还是会比金属要美观不少的。
4. 陶瓷自锁托槽
1和3对应,2和4对应,4其实就是将2那种的托槽换成了透明状的陶瓷托槽,因此也是在美观性上有明显提升,其他的部分差别不大。
所以,从真正根源的解决问题角度来说,自锁与传统式是有明显差别的,而选择金属还是陶瓷除了美观之外、并没有太多影响。
换句话说,如果你现在预算有限,无法同时选择自锁和陶瓷,那么羊建议你优先选择自锁金属。越短的治疗时间,不仅意味着可以美得越早,对本身的牙体伤害也会更小。
如果在选择自锁的基础上,还有一些些预算可又不够全口陶瓷,可以考虑上面用陶瓷、下面用金属。
因为我们笑起来大多都只会露出上牙,所以这么做在美观度上改善还是蛮明显的。
总结:
美观度:陶瓷自锁>陶瓷普通>金属自锁>金属普通
舒适度:金属自锁>陶瓷自锁>金属普通>陶瓷普通
矫正速度(由快到慢):金属自锁>陶瓷自锁>金属普通>陶瓷普通
价格(由高到低):陶瓷自锁>陶瓷普通>金属自锁>金属普通
隐形的两种
别的不说,这两种隐形的矫正方式比上面的四种都要贵hin多,对于预算有限的宝宝,羊觉得就不要考虑这两种啦。对于预算充足,已经上班能自己养活自己的宝宝,选择这两种自然也会让你们觉得贵得有道理。
(来源网络,仅供参考)
1. 透明牙套
隐形的第一种:透明牙套,应该是目前明星整牙比较一致的选择。
原因主要有二:
1. 它不影响美观,远看几乎看不见,对于明星们来说对颜值影响最小;而且它不像上面的四种是固定托槽、清洁不便,它很方面脱戴、方便清洁,进一步不影响颜值,所以美观是它最主要的优势;
2. 复诊次数大大减少,不用频繁奔波于医院。
不过哦,它并不是完全隐形的。首先,隔近点还是很容易发现它的存在。
其次,在一些附着点上,依然会有贴近牙色的点。
就像这样。
除了价格,还有一个缺点是控制精度低导致适应症较窄,换句话说,并不是所有人的矫正它都能搞定。
所以难度不算大、不差钱、同时对美观要求很高的可以选择它。
2. 舌侧
舌侧矫治可大致理解为传统托槽矫治的主战场从外场(唇侧)转移到内场(舌侧),因为外观上不易察觉所以也属于隐形矫治。
早期因为对舌头的压迫和刮擦感,所以舒适性低,羊看了一圈大家的反馈,适应后会好很多。
它的另一个缺点就是对医师的操作水平要求很高,因操作难度大费用很多时候比隐适美还要高。(下图仅为参考,实际价格与所在地区和医生、医院都有关系哦)
(来源:知乎)
所以相对于隐适美的对美观度要求高、不差钱、选择舌侧的还需要加上一条:不介意早期低舒适度的可以选择它,而且它比隐适美更加隐形。
或者是刚刚羊提到过的混搭,上面用舌侧,下面用传统方式。舒适度、性价比等等方面都能得到一个比较好的平衡。
总结:
美观度:舌侧>隐适美>非隐形的四种
舒适度:隐适美>非隐形的四种>舌侧
价格(由高到低):舌侧>隐适美>非隐形的四种
嗯,写到这里好像市面上常见的几种都写完了吼!羊昨天晚上钻牛角尖,一个问题死磕、结果熬夜啃了几百页材料···
看在羊今天变成熊猫眼的份上,盆友们留下你的赞吧~ 羊想用点赞量去敲诈领导请我吃夜宵!
最后,点赞的宝宝都能有一口超美的牙~
戳【阅读原文】,美的有特色~


