大家晚上好哦~~我是氧叔~~
我们一直说精致的脸一定是锐角、直线多的,除了大家已经知道的眼角、嘴角、下巴适合用来增加锐角和直线以外,还有一个部位也适合,并且还很大程度上的决定了一个人的精致程度,这个部位就是鼻梁的粗细。
比如说这张照片里的江映蓉,眼角嘴角都很尖,但是不太有精致的感觉,主要就是因为她的鼻梁太粗了~!对比一下胡静的超纤细鼻梁,宽度只有江映蓉的三分之一。
娱乐圈天生有纤细鼻梁的人不太多,近几年反而都越来越宽了,主要是很多人在调整鼻梁的时候,使用了不合适的调整的方式,张檬整了以后的鼻梁就粗了很多,所以尽管眼角开了,下巴垫了,也不会有以前那么秀气。
今天是我们每周一次的经典旧文重发偷懒时间,给大家推荐迷死氧关于鼻梁处理的文章~~喜欢记得收藏哦~
· 正 · 文 · 来 · 啦 ·
前几天,范冰冰亮相日本一档名为《世界の果てまでイッテQ》的综艺节目。在看到冰冰下车后,外景主持人开始不谈定了。
立马高呼范冰冰的名字:“冰冰冰冰冰冰.....”,感受一下字幕翻译组的奔溃,仿佛全世界都变成了结巴。
拍黑板,来来来,大家伙学习一下岛国人民直白的、热烈的表达爱的话术。
如此直白的爱让迷死氧都开始有些脸红(有你啥事儿?)。
目睹这一切的天朝网友吃惊的表示:纳尼?之前一直以为两国的审美差异非常大,他们不是喜欢这样的吗?
好了好了不开玩笑,下面这类非常有日本特色的长相其实恰好说明他们的审美偏好。
偏爱更加柔和、无攻击性、软软糯糯的长相。
可从这次的节目来看,好像也不完全是这样。
艳丽挂的长相在他们眼里也很容易第一眼惊艳全场。
之前迷死氧一直说线条往尖了走容易出惊艳感,往圆了走更多是邻家感。
所以大家的注意力也大多被她的眼睛、脸型所吸引。
可是大家有没有发现,眼睛艳丽挂的很多、锥子脸也不少,最终出惊艳感的却很少。
大家研究完眼睛研究脸型,却忽视了一个最重要的地方,就是范冰冰的鼻骨。
不是苍蝇腿鼻孔,是鼻孔上到山根下的这一段线条。
大部分人的鼻梁两侧(箭头指向地)或多或少会有些突出。
严重的鼻骨宽会是这样。
极少有人能够长出如此紧凑的鼻骨,两侧完全没有凸出,让整体线条利落干净。
宽鼻骨就和大脸一样,容易显得人圆钝,归为圆线条一类,自然和精致、惊艳扯不上关系。
放一个对比图。
而更讨厌的,这里宽非常容易让我们的鼻子正面看起来矮。
比如下面这个妹纸,其实侧面看鼻子真实高度很理想。
正面一看,仿佛和苹果肌连成了一片。
是的,接下来就是答应了你们一直还没写的鼻骨内推。
咱们改一改平时的科普方式吧,今天先甩一个案例给你们看。迷死氧说这个鼻骨宽应该没人反对吧?
复习一下,我们鼻子的结构是这样的。
上面是实骨,实骨下方是外侧软骨。
刚刚这个宽鼻骨案例的手术方案如下,首先沿着下图中的红线将鼻骨断开。
另一视角如下。
仰头位视角如下,将两侧鼻骨基底与颧骨连接处断离,然后用外力从两侧往内推。
从正视角看内推。
最后缝合切口后用鼻夹板固定,是不是看起来很简单?其实在医美里也确实算很常规的项目~
悄悄告诉鼻子侧面不低,可正面怎么都没鼻梁的同学,可以不用隆鼻就让鼻子变高!喏,就是鼻骨内推。
一个明星案例,天王嫂昆凌,之前的鼻子是这样的,注意看鼻骨部位,是鼓鼓的。
现在,鼻梁两侧完全下去了。
这两张对比更明显一点,之前是这样的。
现在是这样的。(还有眼睛眼角什么的,你们自己看噢,羊啥也没说,就是看图前后不一样了,说不定是天天按摩捏出来的呢 )
当然,一向实事求是的迷死氧也必须得告诉你们鼻骨内推可能存在的问题:出现增生。
有一部分人好奇为什么鼻骨内推之后要戴鼻夹?为什么有些人做完好像鼻子没有太大变化?其实这些都和增生有些许关系。
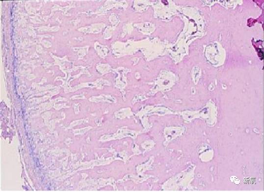
鼻骨增生实际上是骨膜增生。骨膜是附着在骨骼表面的一层结缔组织薄膜,对骨骼有营养和保护作用。骨膜增生是骨膜受到外伤或其他刺激后的一种正常的增生性反应,也是自我修复的一个重要步骤。
受刺激的骨膜细胞增殖变厚,继而骨膜下的成骨细胞增生并活跃性增加,并产生新的骨骼以修复缺损。So,你们可以想象一下,本身要推下去的骨头,这块地方又长了新的上去,是不是外观上看起来就像没效果的?
图片左侧纵向排列,细胞密集的膜性结构为骨膜,骨膜下有大量的新生骨骼组织。
早期大多采用磨骨法来进行鼻骨缩窄,结果增生概率很高,后来医生们发现鼻骨截骨法出现增生大大减少。也就是说磨骨时对骨膜损伤导致了增生的产生,如果仅仅针对鼻骨进行截骨手术,就可以最大程度避免增生。
所以避免增生的第一步就是选择正确的术式,避免磨骨法,截骨法才是亲妈~
第二点当然就是听医生的话戴好鼻夹,做好术后工作。
嗯?是不是以为迷死氧要说可能存在的第二个问题?可是没有啦,鼻骨内推不会像假体那样有时效性,也不会像做一般手术存在留疤等问题。在保证医生操作到位的前提下,除了增生就没啥可挑的了。
好像又一不小心给大家种下一棵小草。。。
听说~看完不点zan的!鼻子会越长越像阿凡达(⊙o⊙)!


