【新氧(微信号:soyoung111)的每篇文章都是用心原创内容,欢迎大家转到朋友圈,转载及合作请联系新氧微信~多谢合作~】
迷死氧今天回想了一下,好像欠了你们很多文章还没写唉!所以决定今天继续还账,来写写关于眼球突出!它对外貌的影响、成因以及该咋拯救。
说到颜值争议大的女星,朴信惠一定要算一个。很多人说get不到她的颜值就算了,get的到的一部分也会说她有时候看起来美,有时候看起来比较普通?
其实主要问题就出在了她的眼球微微突出上。
你们是不是以为这样的才算眼球突出?
其实这种程度就已经很影响整体气质和颜值水平了。
这种就更不用说了。
看完上面的对比,再来看看朴信惠的眼睛。
如果用哑光大地色系眼影压住眼球突出度,同时眼睛不完全睁开,减少眼白暴露程度,眼球的凸出感大大减弱,美貌值就上升许多。
与之相反,眼球突出度越暴露的明显,整体颜值下降越多。
除了朴信惠,还有一个明星也有这毛病,奥斯卡影后:艾玛斯通,人称石头姐。
因眼球突出还一度被网友戏称为悲伤娃。
不过朴信惠的眼球微凸顶多让她不能成为一流的美女,而闫妮的眼球轻微突出,直接导致了她19岁(第一张图)就带有淡淡的妇女气质。
用两个整形急迫指数的例子对比会更有说服力。同样一张照片,左边是原图,右边是妹子自己加了滤镜的,右边的凸眼感P掉,整个人的沧桑感瞬间归零,少女气满满。
另一个妹纸,把眼球上眼睑P得低一点,左边像阿姨,右边像妹妹···
顺便放一记真实眼球突出治疗对比图。
不过羊需要先说明一件事,并不是每个人都适合深深的眼窝,也不是每个眼球突出的人都需要改善。
例如甜美亲和是可以有一定程度的眼球突出的,可是到了惊艳和气场面前,这种突出就会拉后腿。
景甜就是一个很典型的例子。
所以不要盲目给自己的眼球下定义,可以先测试一下你是哪种风格气质。
气质分成3个组成部分,年龄感,距离感,智力感。年龄感的两个相反的方向,娃娃脸VS成熟脸。距离的两个相反的方向:甜美善意VS进攻疏离,距离感五官的情绪有关。智力的两个相反方向是聪明机灵VS懵懂呆萌,智力和精致程度以及瞳距有关。
相反方向的比如智力不可兼得,一个人不可能看起来又蠢又聪明,但可以看起来又聪明又甜美。气质是可以通过程度的控制混合存在的。
想知道自己的性格最适合什么气质吗?来做个测试吧~~扫下方二维码,关键字回复:气质
另外还有超多你想要的关于审美,关于风格,关于术式
想知道自己最应该做哪些项目吗?
关注新氧美学院(ID:soyoung456)
测试完回来咱们接下来得说说眼球突出成因和咋解决了。
眼球突出原因
1. 先天型
这种最好理解,就是先天性的眶骨深度较浅,眉骨较平,导致眼窝浅、眼球更易突出眼眶。
2. 近视眼
我们经常见到高度近视的人,随着戴眼镜的年限越长,眼球越突出。
这种变化,最主要的原因:眼轴变长。眼轴,简单的来解释就是:从角膜-晶状体-玻璃体-视网膜的距离。
无论是轴性近视还是屈光近视,这条轴线都比正常眼睛要长。
上面的没看明白的话看下面这张图,轴性的是整个变长,屈光的是红箭头所指的中心点变长,最终的结果都是显得眼睛更加突出。
感受一下同一个人的眼球变化。
3. 长期佩戴框架眼镜
即便不是高度近视,长期配戴框架眼镜也会更容易让眼球突出(例如汪涵)。为啥?
戴眼镜的同学来跟着羊转动一下眼球,有没有发现戴上眼镜之后,视线非常的受阻?不自觉的就更爱用转头来替代转眼珠调整视线?
而这样的习惯会导致眼球旁边的肌肉无法得到锻炼,慢慢的眼球中心高度不变,四周肌肉退化。是不是更容易显得眼球突出了?
而且这种慢慢习惯性的瞳孔居中,会像下图一样,眼球进一步突出并渐渐丧失了自主的灵动感。
4. 其他疾病型
例如甲亢和甲减,大多因眼眶周围细胞浸润、水肿以及结缔组织增生所致。
例如李连杰。
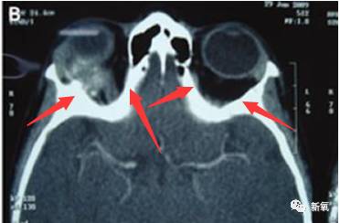
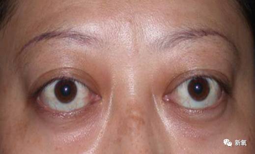
还有一种是单侧的眼球突出,看下面的图,应该能看懂哈,白色部分是骨骼,左侧眼球正常,右侧突出。
看正面就类似下面这样,不过右边的程度会再严重一点。
还有程度更严重的就像下图这样,正常睁眼都会呈瞠目惊恐状。
就像正常人表情惊恐态的眼周状态。
解决方法:
1. 针对所有类型,只要你是眼球突出,不管是哪种成因都可以考虑的方法:
一、丰眉弓或隆鼻
针对眼球突出,一般最简单易行且改善明显的建议是增加眉弓或者眉弓和鼻子一起加高一点,视觉上营造一种眼窝变深的感觉,改善眼球的突出。
动图。羊只把妹子山根和眉弓微微加高,眼睛的突出感减轻了很多有木有?而且那种凸眼自带的增龄市井感也大大减弱。
二. 、手术法改善
丰眉弓隆鼻这种抬高四周的方法如果是治标不治本的话,马上要说的这一类就是从根源着手的方法。
第一种,减少眼眶内容物法
主要适合眼球突出情况不严重的,在进行上下眼皮或眼袋整形的同时,将眼眶深部的脂肪尽量减少,因此扩大眼眶内部,让眼球自由活动的空间增大,眼球就自然的向内缩回去了。
不过这种方法迷死氧还没见过真实案例,于是问了好几个眼部的医生,都说在符合条件的情况下是可以做的,所以大家如果有需要的话,可以自己多去面诊考虑看看哦。
第二种,扩大眼眶容量
将眼眶四周的骨片破坏,从而造成眼球后缩的效果,这种手术方法,适合于眼球突出较为严重的案例。
也也把这个白色的眶骨部分进行少量的破坏,从而扩大眼眶的容量。
案例。
2、针对近视眼和眼镜框爱好者,怎么来解决这些问题?
首要的当然是好好保护自己的视力。(这句不是废话咩)不过这里需要跟大家说一个容易被忽视的地方,睫状肌。就是通过它的收缩、放松来调整我们的晶状体的对焦能力。可是当我们持续的看近物时间过长,便会造成睫状肌痉挛,导致视力度数加重。
如果你们还在未成年时期,或者已经有了宝宝,一定要注意眼部的睫状肌的锻炼和调节,比如时不时看看电脑,看看远方,热敷眼睛,闭目养神等等。
第二招,每天进行眼球的上下左右大幅度的转动锻炼
这部分的原因不用多做解释了吧,眼球突出里两大成因都和转动过少有关啊。
第三招,戴隐形眼镜。
虽然戴隐形眼镜会比框架眼镜麻烦很多,但是对抗眼球变凸却是有非常显著的优势。不过如果有近期要做近视眼矫正的打算,还是得乖乖戴框架哦,因为隐形眼镜很容易将我们的角膜磨损,可能会导致手术的无法进行。
大家根据自己的情况酌情考虑选择,希望这篇文章能对你们有所帮助。
最后··· 一个写完发现天黑了,周末就这样没了的羊!要出门去吃夜宵了,看完不点赞,羊的肉肉会长在你们身上噢!
戳【阅读原文】,来get眼球突出拯救大法!


