一.概述
脑脊液鼻漏为鼻颅底外科常见疾病,1899年Thompson首次报道 。
脑脊液经颅前窝底、颅中窝底或其他的先天性或外伤性骨质缺损、破裂处或变薄处流入鼻腔 。
常见原因:外伤性、医源性、自发性,以外伤性为最常见, 自发性处理最为困难 。
漏口常见部位:额窦后壁、额隐窝、筛顶、筛板、蝶窦顶壁和外侧壁,其中额窦后壁和蝶窦外侧壁漏处理最困难。
临床表现
主要为鼻腔间断或持续性流出清亮、水样液体,多为单侧,在低头、用力、压迫双侧颈静脉时可诱发流出量增多。
外伤时有血性液体自鼻孔流出,其痕迹的中心呈红色而周边清澈,或鼻孔流出的无色液体干燥后不呈痂状者,应想到脑脊液鼻漏。
自发性脑脊液鼻漏
发病机理复杂,病因不明,命名为原发性脑脊液鼻漏。
因其病因隐匿,漏口定位困难,往往给临床诊断与治疗带来不便。
自发性脑脊液鼻漏可能原因
筛骨水平板的局部萎缩或蝶鞍区萎缩或嗅球萎缩形成的腔隙被含脑脊液的蛛网膜取代→脑脊液搏动在颅骨上产生持续的作用→颅骨持续破坏→CSF漏 。
骨质疏松、颅底骨退行性改变→未予重视轻微或间接外力作用于头部易致颅底线型骨折引发CSF漏。
蝶窦自发性CSF鼻漏:蝶窦气化良好,蝶窦与中颅窝颞叶区域仅有菲薄骨片相隔;中颅窝蛛网膜呈颗粒状,当蛛网膜内充满脑脊液并搏动时,可逐渐侵蚀骨质,最终导致硬脑膜及蛛网膜突出塌陷进入蝶窦形成漏孔。
二.CSF鼻漏的诊断和定位技术
病史:外伤史、颅底手术史
糖定量:>30mg/dl(1.67mmol/L);蛋白:>45mg/dl
优点:无创;
缺点:精确性差、不能定位
β2转铁蛋白(国际上对脑脊液检测最常用的指标)
优点:精确、无创;
缺点:不能定位
鼻内镜检查:无创、直观(漏口定位)
影像学检查
鼻内镜检查
顶前部→顶后部→蝶筛隐窝→中鼻道→咽鼓管咽口 。
局部黏膜水肿或肉芽、息肉。
检查每个部位时,可压迫双侧颈内静脉,颅内压增高,观察脑脊液从何处流入鼻腔。
影像学检查
HRCT扫描
优点:良好显示颅底骨质缺损、CSF继发性征象、颅底三维重建
不受CSF漏活动性与否的限制漏口定位敏感度可达87 %~100 %
缺点:不能分辨CSF跟其他软组织
骨性裂缝不一定有CSF漏
CT脑池扫描
优点:造影剂可能汇聚于鼻窦,显示骨性细微结构较好
缺点:有创伤性,不一定能发现间断性CSF漏
放射性核素脑池造影
优点:定位CSF漏,并可以识别低流量,和间断的CSF漏
缺点:定位不精确
MRI/MR脑池扫描
优点:显示软组织(CSF/脑vs分泌物)细节非常理想,无创
缺点:显示骨性的细节差
影像学检查:MRI
T2WI因CSF信号强化而确诊CSF漏
显示漏口周围硬脑膜下积液
显示筛窦或上颌窦积液征
显示脑膜脑组织膨出
颅内脑脊液高信号影与含脑脊液的鼻腔或鼻窦高信号影之间有线状高信号影连接,线状高信号影的直径为漏口大小
现广泛使用的MRI 水成像技术,定位漏口准确
鞘内注射荧光素
优点:定位精确
缺点:有创伤性,精确定位需要暴露颅底
放射性核素脑池造影
自发性脑脊液鼻漏
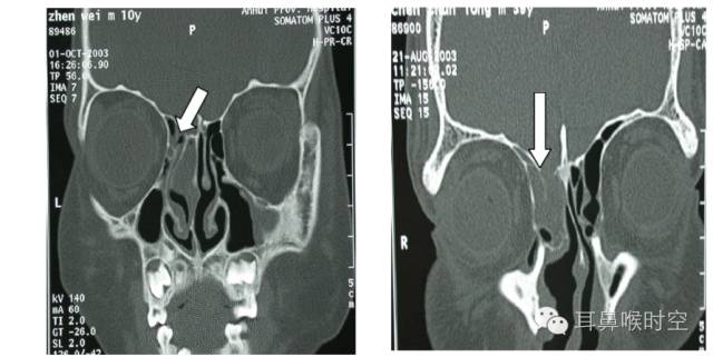
左:筛顶漏伴有鼻息肉 右:筛板漏
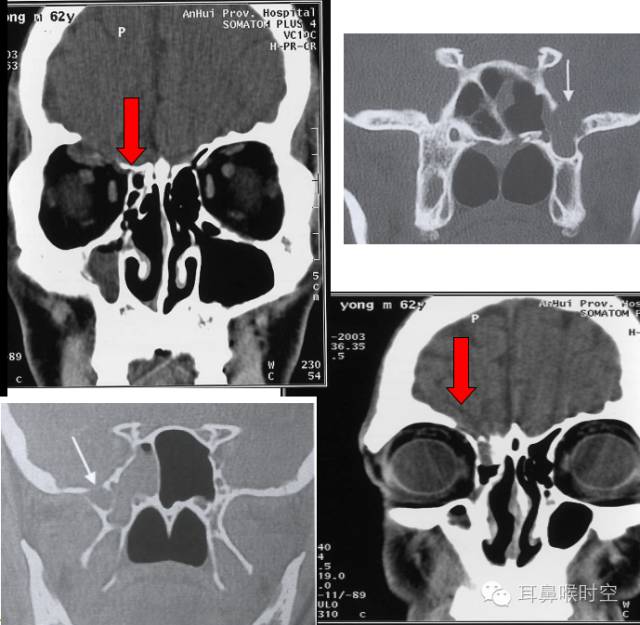
脑膜眶膨出与筛顶缺损
垂体瘤术后蝶窦漏
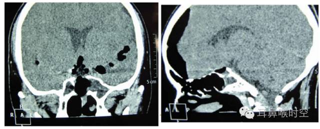
MRI显示额窦积液征与空泡蝶鞍
筛顶缺损和空泡蝶鞍
外伤性脑脊液漏
外伤性脑脊液漏
三.脑脊液鼻漏的鉴别诊断
变应性鼻炎:变应性鼻炎发作时可出现流清水样涕症状,应与本病鉴别。但变应性鼻炎同时伴有连续喷嚏、鼻痒、鼻塞症状,并且具有明确的致敏原。分泌物生化检查可鉴别。
鼻窦粘膜下囊肿:以上颌窦最为多见,囊肿自发性破裂时可流出淡黄色清亮液体,单侧,应予以鉴别。可行影像学检查和生化检查。
四.治疗方法的选择
保守治疗
对于首次发生、病程短,首推保守治疗:
1.头高俯卧体位治疗,让脑组织向前移位,压迫漏口或裂缝,纤维蛋
白渗出粘连,促进漏口愈合。
2.醋氮酰胺、糖皮质激素、甘露醇利尿脱水、乙酰唑胺等利尿剂----CSF降低达48%。
3.腰椎穿刺引流。
4.短期内无减少---漏口较大,自愈的可能性小。
5.观察时间:2周~2个月, 保守治疗成功率:70%。
6.外伤性脑脊液鼻漏:颅内感染发生率29%(三代头孢)。
外科治疗
颅内法(开颅修补):
1926年Dandy首先采用,90年代以前多采用
直视下寻找漏孔,可导致嗅觉丧失
不适合蝶窦漏
成功率分别为50 %~73 %
颅外法:鼻外和鼻内径路
鼻外径路:Dohlman(1948)和H鼻内进路:Hirsch(1952)
鼻外径路成功率:80 %
鼻内镜下:1981年Wigand
国内许庚1994报道
内镜下成功率:90-100%(主流手术)
鼻内镜下修补术
手术适应症:
筛顶、筛板、蝶窦及部分额窦脑脊液鼻漏;
外伤性脑脊液鼻漏经保守治疗无效者;
自发性及部分外伤后迟发性脑脊液鼻漏者;
医源性脑脊液鼻漏术中发现,或术后保守无效者。
手术入路选择
根据影像学及内镜检查拟确定的漏口位置选择入路;
来源于嗅裂或明确筛板骨质破坏-鼻腔直接入路;
来源中鼻道或明确筛顶筛板骨质破坏采用Messerklinger手术进路;
来源于蝶窦鞍区的脑脊液鼻漏采用Wigand手术进路,即直接开放蝶窦的方法。
漏口定位,关键方法!
根据影像学资料重点开放筛窦或蝶窦,依次边开放边寻找;
漏口位置的鼻窦粘膜多呈高度水肿,灰白色;
微量可疑漏出液,轻触该部位粘膜使其有微量渗血;
线状液体流动,可确定有脑脊液鼻漏存在;
根据流出部位朔源寻找漏口;
漏口较大可见脑脊液博动。
移植物的选择
因个人习惯而异;
通常是游离移植物而非带蒂的移植物;
单独和联合应用:骨、软骨、黏膜、筋膜、合成材料;
骨性移植物:乳突皮质、顶骨皮质、鼻中隔骨及中鼻甲骨
支撑作用;
自发性CSF漏和颅内压、漏孔过大----筋膜和黏膜移位。
漏口处理
制备移植床:在漏口周边的黏膜、骨质以及脑膜缘搔刮形成2~3mm新鲜创面,如有脑膜脑膨出,可作电凝切除。
给移植物提供一个黏附的区域有利于新骨形成和骨炎性骨的形成。
如果在移植物和移植床之间使用骨移植物,那么就使环绕在缺损周围的骨质增厚,有助于骨性闭合。
漏孔封闭方法
外贴法:漏口<2mm采用筋膜外贴法
夹层法:(2mm~5mm)筋膜-肌肉-筋膜
>5mm:筋膜-支撑材料-肌肉-筋膜
浴缸塞法
修补漏孔的方式
硬材料修补较大颅骨缺损
鼻中隔黏膜瓣修补
浴缸塞法(压塞式)
术中注意事项
找不到脑脊液漏孔的部位就不可能进行修补
去除脱垂的硬脑膜而不要修补它
修补的硬脑膜不能为缺损的组织提供支撑力量
不要阻塞额窦开口和额隐窝
不要一味强调内镜下修补
自发性修复后CSF漏的复发率最高(25%),其他病因所致的修复后复发率低于10%
手术后注意事项
半卧位10天,避免增高颅内压动作;
限制饮水量,低盐饮食,防止便秘;
甘露醇125ml快速静滴,Q8H;
全身应用抗生素至少14天;
10-14天抽碘仿纱条,明胶海绵不取出;
术后有时可见鼻腔流出少量清水样分泌物,一般考虑可能为碘仿纱条刺激所致;
出院与常规鼻窦炎区别在于前者一般不应用鼻腔冲洗,而且禁忌清理修补区周围组织,以免导致颅内感染或者填塞物脱落,鼻漏复发。每2-4周复查一次,清除鼻腔、鼻窦内的粘稠分泌物,观察漏孔区肉芽生长和术腔上皮化的情况,一般在术后3个月左右,术腔上皮化基本完成,此后每半年到一年复诊一次。
--
法国--舒德尔玛作为原研进口产品——法国康卡勒海湾纯天然提取。
同样是海水,可以是康卡勒海湾,可以是胶东半岛,也可以是舟山渔港,还可以是天然提取的,可以是海盐蒸馏水的,更可以直接盐水混和的,甚至用输液的氯化钠也能作为鼻腔冲洗。如何选择?
因天然而舒畅——法国舒德尔玛是生理性海水提取液,不含药物、不含激素,无副作用。
--


