文章来自迷死氧的护肤指导师兼闺蜜大人要脸(微信号:darenyaolian)听说关注她的人,默默的钱包变鼓了,人也变美了,再也不用靠“听说好用”护肤了!昨天她来个美妆大赏大测评!今儿又来搞怪痣多星?你们都想知道闭口和粉刺是怎么解决的?关注(大人要脸)回复“闭口”就能知道啦!恩,有了她再也不用无脑种草了!
考眼力,大家来找茬,题目:找出图中江映蓉。看不出来吧?就是最中间那个。
当年江映蓉在超级女声中获得了不错的成绩,颜值也没有差到那个地步,起码的辨识度还是有的,邻家小女孩的feel。
可是后来有一段时间,江映蓉开始沉迷于动自己的脸了,眼角开到了这个位置,不过OK啊,颜值还是在线的。
后来江映蓉越整越大发,继续开了眼角,垫了鼻子,削成了小V脸,感觉眼睛马上就要豁开了。
甚至撞脸了何炅,难道只有我一个人觉得她比何炅还像何炅吗?
过了一段时间,大人再看见关于她的消息时,江映蓉已然变成了僵硬蓉。
上一张近照。
这还是当年的江映蓉吗?
经历了这么多部位的动刀,大人发现,江映蓉唯独对脸上的这些痣没办法,它们依然存在。
动遍了全脸的江映蓉都没办法,这些痣真的有这么难去掉吗?我再也不想当“痣多星”了,有没有什么可以去痣的好方法?想去点痣,有没有什么需要注意的?在这之前我们应该先看看这些痣的形成原因。
其实痣的成因很简单,就是皮肤中的黑色素细胞,或者是黑色素细胞所分泌的黑色素颗粒异常增多,不断积聚就变成了痣,这其实和细胞的分化有很大的关系。
痣的生成和染色体有关,可能因为遗传。
痣越多的人,染色体端粒越长,端粒是染色体末端片段,细胞每分裂复制一次,端粒就缩短一些,端粒长度越长就表示细胞复制能力越强,爱长痣的宝宝,你们就是染色体端粒太长了,黑色素复制的太多了。
细胞在死亡前可用的复制的次数比较多,黑色素细胞不断复制复制复制...黑色素就积攒的越来越多,于是痣就形成了,如果只是色素细胞在不断复制,形成的就是这种痣,黑黑的,但是不突起。
如果你的表皮细胞连带着黑色素细胞一起被复制,就很容易形成这种突起的痣。
你身上不停地有痣生成,这是遗传的一部分,因为遗传的端粒较长,所以细胞更容易多次增值分化。
不过容易长痣宝宝也不要慌,爱长痣也不全是坏处,因为端粒比较长,细胞复制的次数要比正常长度端粒的宝宝多得多,表皮细胞相应复制的次数也要比普通人多,表皮细胞存活时间越长,细胞凋零速度就越慢,就越不容易衰老,不只是皮肤,眼角膜、骨骼、各个器官,都会因为细胞存活时间比较长而凋零的比较慢,所以说爱长痣的宝宝大多数不太容易衰老。
可是有很多痣位置长得不太好,会影响美观。比如这种,长在脖子上的痣。
或者长在脸上的大颗痣。
于是好多宝宝想要直接把这些黑黑的影响美观的小点点去掉,直接能想到的就是去美容院或者小诊所点痣,5-1000元不等。通常点痣用的药水都是腐蚀性的溶液,原理就是用牙签涂上带有腐蚀性的溶液戳在痣上,腐蚀表面带有黑色素的皮肤,让黑色素脱落,结痂,然后再长出新的皮肤。
腐蚀之后的皮肤就是这样的,运气好的话新长出来的皮肤是不带有黑色素的,但是一旦腐蚀的不够深,黑色素细胞没有被完全清除,那么长出来的皮肤还是会无穷无尽的分化黑色素细胞。
路边摊的杀菌消毒不够好,美容院或许能给你消一下毒,但是有些美容院真的是坐地起价,同样的淘宝货药水,甚至能要出1000元左右的价格,没错其实美容院和路边摊那种点痣药水用的成分基本都是一样的,就是高腐蚀性溶液。
这种药水点痣的弊端就是:
腐蚀的深度拿捏不准,通常为了彻底去掉黑痣而腐蚀得特别深,可能会伤害到真皮层。后期护理不当很容易留下比较深的痣坑或者疤痕。
控制不好腐蚀面积,有可能腐蚀到健康皮肤。
对于面积比较大的痣腐蚀效果不好,因为面积较大的痣黑色素隐藏的比较深,大面积腐蚀会留下疤痕,护理不当甚至会出现增生或者皮肤无法再生。
于是又有好多宝宝想到了医美,用激光除痣。可是你们还不了解激光除痣,怎么就那么放心让医生对你的脸下手?
其实激光除痣和药水除痣原理类似,都是将带有黑色素细胞的表皮去掉,然后长出新的皮肤,长出的皮肤和普通皮肤一样是肉色的。因为激光的热损伤面积是可控的,所以,激光除痣对健康皮肤造成的损伤概率是低的。
其次激光祛痣的深度也是可控的,医生会根据你黑色素的涉及深度来控制激光的热损伤深度。
如果是专业的医生,在消除比较大颗痣的时候是不会和你说出一次就能解决的这种话的,因为黑色素隐藏的面积比较深,面积比较大,如果接受大面积热损伤,伤害到真皮层,皮肤很容易出现无法正常增殖的现象,导致痣坑、增殖突起或者是色素沉淀的现象出现。
所以通常比较大颗的痣是要分成几次去除的,这样才能保证你不会因为真皮层损伤而出现各种各样的术后问题,不过小颗的痣倒是可以一次就解决。当然,在激光祛痣之前,一定要准确的了解黑色素波及的深度,避免对皮肤造成一系列不必要的伤害。
类似这种小痣,就比较适合激光去除。
基本不会留下什么印记。
像这种比较大颗的痣,如果一次性强行去掉就很有可能出现真皮损伤。
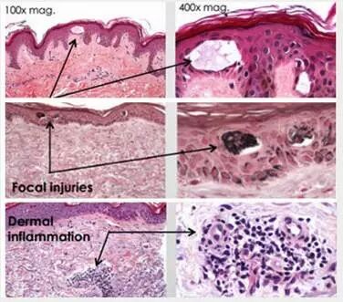
通常黑色素延伸到真皮层的痣,专业的医生都会要求分几次去除,尽量保证不出现类似下图一样的真皮损伤。
不要以为激光或者药水点完,痣没了就完了,其实之后的护理更加重要。
通常点痣之后医生都会给开一些表皮生长因子(EGF)的涂抹剂或者是喷剂,和注射在血液里的大量增殖不同的是,表皮生长因子涂在皮肤表面是不会造成皮肤病态增殖的,它只是会加速皮肤的愈合速度,所以只要谨遵医嘱,根本不用担心细胞过分增殖,出现肉瘤突起的现象。
创伤的愈合分成四个周期,止血期、炎症期、增生期和成熟期。
炎症期和增生期,就是我们入手的关键时期,把控好这两个时期,能让色沉以及增生疤痕很大程度的减少。
在炎症期时,如果伤口一直不好,反复感染,就会不断刺激我们表皮细胞,于是纤维母细胞和肉芽组织就更容易过度增生,更容易纤维化进而形成难看的疤痕。这种表皮生长因子的作用就是,在炎症期和增殖期之前,就使得皮肤快速愈合,也就变相的减少了疤痕产生的概率。
除了涂抹表皮生长因子,防晒也非常重要,为了避免日晒使得酪氨酸酶不断生成,导致黑色素仍然上移形成色沉,物理防晒这个时候就显得至关重要了。所以如果你刚点完痣,一定要记得把脸包裹住,避免日晒,形成色沉的概率就会小一点。
其实点痣看起来简单的一件事,需要注意的事项还是蛮多的呢,怪不得江映蓉不敢动呢。不管是普通的药水点痣,还是激光除痣,大人需要提醒你们,一定要选择正规的医院专业的医生,因为医生技术不过关,造成的创伤可能会更大,并且千万不要心急,否则留下痣坑就不美了哦!今天就酱!
可是已经形成的痣坑和痘坑要怎么解决哦?想看就点个赞吧!
关注大人要脸,让你素颜美到爆!


