【新氧(微信号:soyoung111)的每篇文章都是用心原创内容,欢迎大家转到朋友圈,转载及合作请联系新氧微信~多谢合作~】
前两天被孙杨整牙的新闻刷了屏。之前总被嘲牙齿不好看的大白杨放出了自己整牙后的自拍照,显然,牙齿矫正效果很好啊。
对比之前长得“奇形怪状”的牙齿,现在的牙齿真是又白又整齐!
感觉笑起来都更加自信了!还撞脸了凯凯王有木有!
所以,牙齿的美观度其实也在很大程度上影响着人的自信程度。举个例子,不知道大家有没有发现,记忆中的李沁特别喜欢抿嘴笑。
合影中唯一一个笑不露齿的。
如何区分长相相似的李沁和孙怡?对比她们笑的照片呀。
李沁为什么这么热衷于抿嘴笑呢?大家还记不记得,去年时装周上的李沁,抿嘴笑又美又大方时尚,是这样的。
可一张露牙笑的照片曝光,女神气质瞬间就没有了。
因为这牙…真的也太黄了吧。
是时装周灯光的锅吗?是未修图的原因吗?显然并不是,我们看到那之前她被拍到的露牙照,牙齿确实是挺黄的。
牙黄有多影响颜值这件事就不用羊多说了,大家身边可能也有这样的例子。就算是高颜值的明星女神,也经受不住牙黄的毁灭性影响。董洁。
刘亦菲。
佟丽娅。
章子怡也有过这样的窘态。
当然,女神们在发现自己的牙齿问题暴露之后,都会及时补救。前两天迷死氧刷微博,竟然看到有网友在称赞李沁好美的牙齿。
吓得羊赶紧去李沁的微博围观了一圈儿。发现她确实有了露牙笑的照片!而且真的还挺美!
放大看,牙齿真的比之前白了很多。
妹子终于开始有了漂亮好看的露牙笑照片。
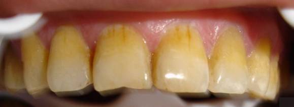
不过,大家或许也发现了,比起其他明星亮白的牙齿,李沁的牙色看起来还是轻微地发黄。
所以,是不是李沁还不够重视自己的牙齿问题?牙齿是不是应该越白越好?答案其实是否定的。
我们先来看一张牙齿结构图。牙的结构分为:牙根、牙颈、牙冠。
牙冠的表面覆盖着一层珐琅质,医学上叫牙釉质,正常厚度2-2.5毫米(用自己舌头舔牙齿,感受到的那层光泽膜就是牙釉质)。牙釉质包裹着牙本质。事实上,牙本质的颜色就是呈黄色或者淡黄色的。
一般来说,牙釉质是半透明状,钙化程度越高,釉质越透明,黄色的牙本质就更容易透出来。所以正常健康的牙冠一般呈淡黄、半透明的象牙色。
也就是说,李沁目前微微有点发黄的牙色才是正常健康的牙色。
那么之前发黄的牙齿是什么原因形成的呢?最常见的是外源性染色的原因,比如抽烟,长期喝咖啡、可乐等色素较重的饮品,或者吃咖喱等色素较重的食物。
迷死氧觉得有必要提醒大家一下,咖喱具有非常高的染色能力,简直是牙齿美白的天敌。超级爱咖喱的羊已经哭倒在屏幕前。
另一个常见的牙齿变黄原因,是牙釉质的磨损,磨损之后牙本质的颜色就会明显露出来,再加上食物残渣的堆积,牙齿就会变黄。
当然我们正常使用牙齿的过程也是一个牙釉质磨损的过程。但是如果有些不好的用牙习惯,就会加速牙釉质的磨损。比如酸性食物吃太多、习惯用牙齿开啤酒瓶或撕开包装袋、频繁洗牙等等。所以大家一定养成好的用牙习惯。
可是如果现在牙齿已经变黄了该怎么办?不要怕,有迷死氧在,当然会给你最合适的办法。不过在这之前,羊先说几个反面例子,大家千万不要盲目去学。
还记得赵薇在小燕子时期是出了名的中度四环素牙。
四环素是一种药,在牙的发育期服用四环素族药物,就会被结合到牙组织内,给牙染色。
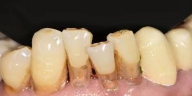
《还珠格格》之后,赵薇就把自己的一口黄牙换掉了。她采用的方式是:烤瓷牙。烤瓷牙是指将自己原本的牙齿打磨小,之后将外型完备、色泽度美观的烤瓷牙冠套上去,就像给牙穿了一件新衣服。
赵薇选择这种方式并没有错,因为她的中度四环素牙,用其他的方式基本是没有效果的。但是她错在选择了一个过白的色度。所以在早期看来,非常假。
给大家看一个常用的牙科比色板。一般临床上比色先看亮度(1~5级),再看饱和度的选择,再决定色调。西方人的亮度一般比东方人更白一些。所以在选择亮度时也要结合自身的实际情况,不能单纯地只追求白,还要注意自然度。
或许是演员因为要上镜的原因,一般女明星做过的烤瓷牙,选得色度都会过白。比如前不久被大家热度整了牙老了十岁的林允,除了色度过白,亚冠还过大。
白百何有段时间做的烤瓷牙也被网友吐槽。
之前的牙是这样的。
做完之后,牙齿变整齐很多,但还是过大过白。看电影时全程被她的大白牙吸引。
而且这种美牙的方式是完全不可逆的。自己的牙齿磨小了就永远不会再长出来,既然做了就得跟你一辈子。其中可能要经受的痛苦也只有自己能感受到,喏,别忘了来自前辈刘涛的经验。
所以如果自己牙齿的问题不严重,最好就别考虑烤瓷牙啦。那有哪些办法可以解决牙齿发黄的问题呢?方法无非就是“去掉”和“遮住”两种。
牙齿去黄,最简单最常见的——洗牙。不要以为平时牙齿没什么问题就不去洗牙,很多污垢、结石都藏在你看不到的地方。
洗牙是通过超声的震动将附着在牙齿表面上的结石击碎、振落,使牙齿恢复原本的色度。
放心洗牙不会对牙齿造成损坏的(一般一年一次就可以,最多两次)。羊再此也顺便安利大家快入电动牙刷,简直提升生活幸福度。
牙渍比较严重的话,洗牙也洗不掉,可以选择冷光美白。原理是用高强度蓝光,经由特殊光学处理照射美白剂,让它发生氧化反应,去除牙齿上的色素。
效果还是不错的。
遮住的方法也就是刘涛口中的“贴个薄片”——牙齿贴面。牙齿贴面简单理解就跟做美甲贴甲片似的,将贴面粘到牙齿上。
不用磨牙也不用担心自己原来的牙齿受损,最终效果也不错。
不过有可能要面临牙齿变厚变大的风险,当然,贴上后悔了也可以拿下来。之前张予曦就是这样。
好啦,方法都告诉你了,可是要去哪里才能做这些项目?猛戳下方的【阅读原文】,迷死氧为大家准备了“美牙专场”!各种美牙项目任你来挑选啦~一起做唇红齿白的大美人吧!
猛戳下方阅读原文,开启专场,一起做唇红齿白大美人!


