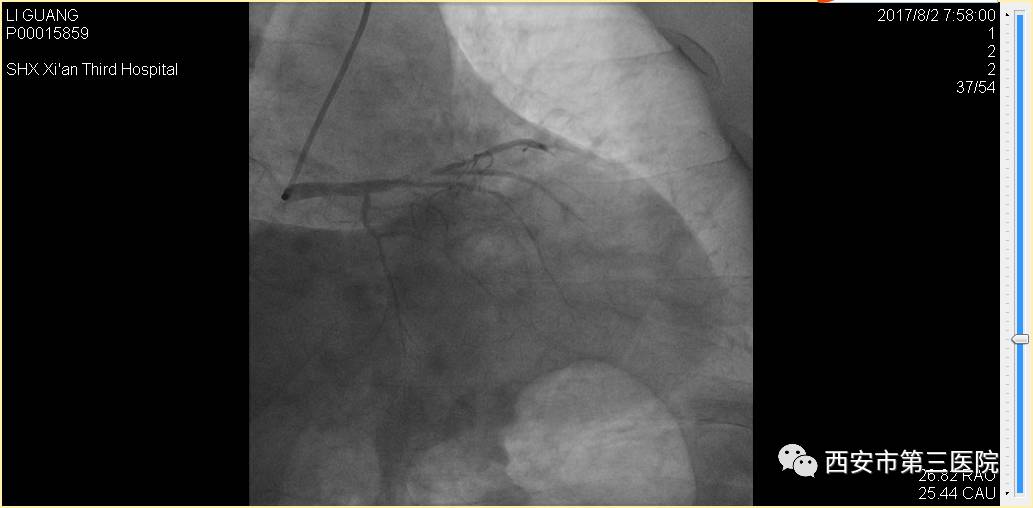
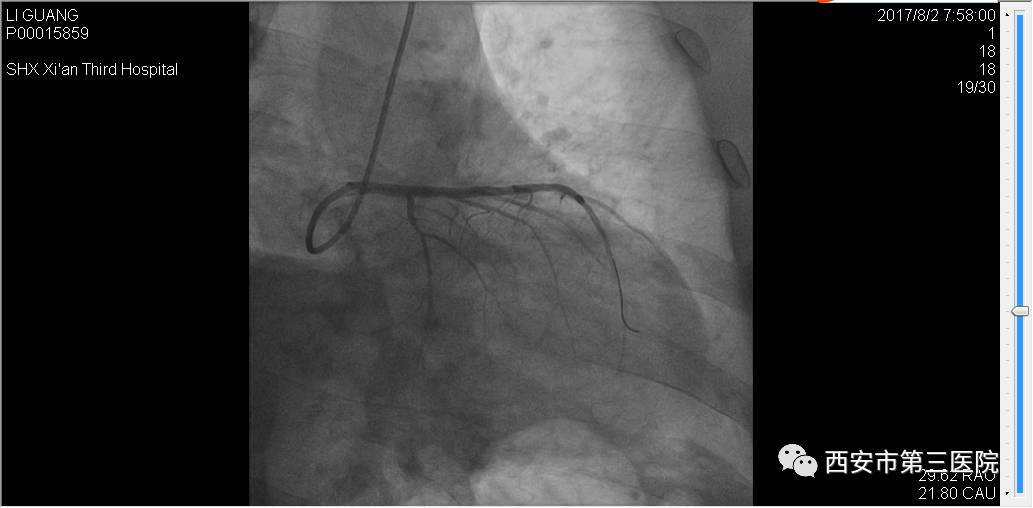
值班二线张维娟副主任医师迅速赶往急诊科,详细询问病史后,考虑“急性广泛前壁心肌梗死”,随即与患者家属进行沟通,告知此患者需行急诊PCI术。嘱苏虹主治医师积极完善术前准备,以助顺利开展急诊手术。并上报心内科主任王昌育,王主任立即赶往医院,开启我科急诊手术绿色通道,致电心内科导管室,协调邴森副主任医师、王利住院医师、护士长何琳及各辅助科室准备就位。随后,患者被推进手术室大门,门外是家人殷切焦急的眼神,门内是医护人员兢兢业业的手术。冠脉造影结果提示:左前降支7段闭塞,需立即开通血管。王昌育主任再次向患者家属告知病情,取得家属同意后,植入支架1枚,术程顺利,术后患者安返病房。在护士长何琳熟练地业务配合下,护理小组迅速完成吸氧、心电监护、指脉氧监测、病情教育等术后对症护理。
手术前
手术后
手术前
此病例是我院建院以来第一例急诊PCI手术,成功的开启了我院对心梗患者的紧急绿色生命通道,也象征着我院各科各部门在市委市领导的监督下迅速成熟发展,协同配合,交出了一份完美的答卷。力求在市委市领导的带领下,大力发展“医联体”,把我院打造成为大西安北部“医联体”的网络中心,更好的服务于人民!
(文章来源:心内科)


